Table of Contents    
Case Report
 
Splenic vein turndown for vascular reconstruction following pancreatic cancer resection in patients with high risk profile
Emma Clout1, James Wei Tatt Toh1, Adeeb Majid1, Ju-En Tan1, Jim Iliopoulos1, Neil Merrett1
1Bankstown-Lidcombe Hospital, Bankstown, NSW, Australia; University of Western Sydney, NSW, Australia.

Article ID: 100058IJHPDEC2016
doi:10.5348/ijhpd-2016-58-CR-14

Address correspondence to:
Emma Samantha Clout
C/- Bankstown-Lidcombe Hospital
Eldridge Rd, Bankstown, NSW
Australia 2200

Access full text article on other devices

  Access PDF of article on other devices

[HTML Abstract]   [PDF Full Text] [Print This Article]
[Similar article in Pumed] [Similar article in Google Scholar]

How to cite this article:
Clout E, Toh JWT, Majid A, Ju-En T, Iliopoulos J, Merrett N. Splenic vein turndown for vascular reconstruction following pancreatic cancer resection in patients with high risk profile. Int J Hepatobiliary Pancreat Dis 2016;6:76–80.


Abstract
Introduction: Vascular reconstruction is utilized following resections for pancreatic cancers with borderline resectability. This is defined by venous or partial superior mesenteric artery (SMA) involvement, where vessels are resected en bloc to achieve an R0 resection. There are many vascular reconstruction techniques post en bloc R0 resection, each with its own complication profile. The splenic turndown technique separates the vascular anastomosis from the pancreatic anastomosis, reducing the risk of vascular disruption should a pancreatic leak occur.
Case Report: This is the first report in literature of the splenic vein turndown technique being utilized for vascular reconstruction post- pancreatic resection for borderline resectable pancreatic cancer. To date, splenic vein turndown repair has only been described in a trauma setting. In this case, splenic vein turndown was preferred as the patient was on long-term corticosteroids with a high risk of anastomotic leak.
Conclusion: This case report showing that splenic vein turndown technique is a feasible option for vascular reconstruction post-pancreatic resection. The main disadvantage of this technique is high risk of segmental portal hypertension if the spleen is not removed concomitantly. For this reason, its utility should be restricted to patients at high risk of pancreatic leak.

Keywords: Pancreatic cancer, R0 resection, Splenic vein turndown technique, Venous reconstruction


Introduction

Patients with pancreatic cancer frequently have extra-pancreatic involvement at the time of diagnosis [1]. Portal vein (PV)-superior mesenteric vein (SMV) involvement is often seen on preoperative imaging or at the time of resection. Surgical resection remains the only definitive treatment, increasing median survival from five to ten months without surgery to twenty-three months with a negative margin (R0) resection [2]. The five-year survival is approximately 20% when combined with adjuvant therapy. Katz et al. [3] reported a median survival of forty months for patients with borderline resectable disease who successfully completed neoadjuvant therapy, R0 resection and adjuvant therapy.

Failure to achieve a clear margin (R1) resection produces similar survival rates to chemoradiation treatment alone with a median survival of eleven months [2]. Benefits of surgery depend on clear margins being obtained. In order to achieve R0 status, en bloc resection of the SMV during the pancreatic resection may be required followed by vascular reconstruction and gastrointestinal anastomoses. Borderline resectability in pancreatic cancer is defined as no distant metastases, but with venous involvement of the SMV/PV - abutment and/or narrowing or encasement of the lumen but with suitable vessel proximal and distal to the area of vessel involvement (to allow for reconstruction), no involvement of celiac axis and no more than 180 degrees of circumferential involvement of SMA) [4].

A consensus statement from the Americas Hepato-Pancreatico-Biliary Association and Society of Surgical Oncology (AHPBA/SSO) in 2009 highlighted the importance of R0/R1 resection for pancreatic adenocarcinomas with venous vascular involvement of the PV/SMV [5], with little benefit from incomplete resections. The AHPBA/SSO recommended these resections be performed in high volume institutions with experience in resection and reconstruction of major mesenteric veins [5].


Case Report

A 75-year-old female was presented with abdominal pain and a new diagnosis of insulin dependent diabetes mellitus (IDDM). She had polymyalgia rheumatica and was on long-term steroids.

A triple phase computed tomography (CT) scan of the abdomen revealed a 23 mm lesion in the pancreatic head with a mass abutting the portal vein. There was no thrombosis or encasement and no arterial involvement or evidence of metastatic disease. Endoscopic ultrasound (EUS) guided fine needle aspiration (FNA) biopsy confirmed the moderately differentiated adenocarcinoma (22x24 mm) with abutment of the SMV/PV over 1 cm, associated with mild fusiform dilatation at the point of contact. She was assessed to have borderline resectable disease and was commenced on neoadjuvant chemotherapy. During the course of her treatment, she became jaundiced with a bilirubin of over 200 mmol/L and proceeded to endoscopic retrograde cholangiopancreatography (ERCP) and stenting. Her CA19-9 level was 260 U/mL. After three cycles of gemcitabine based chemotherapy, repeat imaging with CT scan and EUS revealed no progression or reduction in disease but her CA19-9 level decreased to 110 U/mL. Positron emission tomography (PET) scan revealed no evidence of metastatic disease. Her case was referred to a high volume pancreatic surgery unit for consideration of resectability.

With good premorbid performance status, no evidence of metastatic disease, no disease progression while on neoadjuvant chemotherapy, and radiological evidence of resectability, the patient was offered a pancreaticoduodenectomy. Intraoperatively, the SMV and confluence of the jejunal and ileal venous tributaries was involved with the tumor but the portal vein was relatively free (Figure 1). There was no evidence of distant metastases. A decision was made to perform a total pancreatectomy with venous resection and reconstruction.

Due to her chronic steroid use, the risk of leak was significantly higher. A decision was made to perform a splenic vein turndown technique to reduce the risk of an anastomotic leak disrupting the vascular reconstruction which would be catastrophic. A splenectomy was also performed to reduce the risk of segmental portal hypertension associated with the short gastric vessels in cases where the spleen is preserved.

Following cholecystectomy, distal gastrectomy, end-side hepaticojejunostomy and end-side antecolic gastrojejunostomy, a splenectomy was performed. The splenic vein was isolated and prepared for the turndown technique. During the course of the turndown technique, the PV, SV and two main tributaries of SMV (jejunal and ileal) were clamped and divided. The two SMV tributaries were then re-anastomosed to the mobilized and turned down splenic vein (Figure 2) (Figure 3) (Figure 4). 7-0 prolene suture was used to perform the anastomosis of the splenic vein to ileal and jejunal tributaries of the SMV, with a continuous end-to-side and end-to-end anastomosis respectively. In this setting of neoadjuvant therapy, the caliber of these vessels was reasonable and formed part of the patient's preoperative imaging assessment with regards to options for venous reconstruction. This included vascular surgeon review suitability. This patient received 5000 international units of intravenous heparin cover, and had a total ischemia time of 17 minutes. No blood products were used intraoperatively and the total operative time was 323 minutes.

Final pathology confirmed a poorly differentiated adenocarcinoma in the head of the pancreas which was 35 mm in diameter, extending to the anterior border. Tumor was found invading the wall of the SMV. 2/26 lymph nodes were involved. The pathological staging was pT3, pN1, Mx. The margin was negative and there was no evidence of residual microscopic disease. The patient had an uneventful recovery and proceeded to have adjuvant chemotherapy. Repeat imaging at third and sixth months post-surgery revealed no evidence of recurrent disease. Furthermore, postoperative imaging revealed patent flow through her anastomosis, with no functional limitation regarding the potential for angulation at the junction of the SV and SMV with this turndown technique (Figure 5). The patient remained alive 42 months post-resection.


Cursor on image to zoom/Click text to open image
Figure 1: Intraoperative photograph of venous structures encountered during splenic vein turndown technique.



Cursor on image to zoom/Click text to open image
Figure 2: Left venous anatomy in pancreatoduodenectomy. Right venous anatomy post splenic vein turndown with anastomosis of ileal and jejunal veins with total pancreatectomy and splenectomy
Abbreviation: PV portal vein, SMV superior mesenteric vein, JB jejunal branch, IC ileocolic branch.




Cursor on image to zoom/Click text to open image
Figure 3: Splenic vein turndown with anastomosis.



Cursor on image to zoom/Click text to open image
Figure 4: Intraoperative photograph of splenic vein turndown technique with SMV ligated, and splenic vein anastomosed to jejunal and ileal branches.



Cursor on image to zoom/Click text to open image
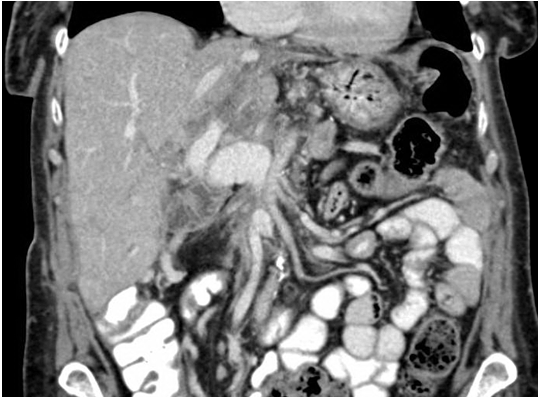
Figure 5: Computed tomography scan after three months post total pancreatectomy and splenic turndown reconstruction demonstrating patent flow through portal vein and ileal and jejunal tributaries.



Discussion

There are many vascular reconstruction techniques including use of the splenic vein post-pancreatic resection including use of the splenic vein. When the splenic vein has been used for reconstruction, it has been utilized as an autologous interposition graft in cases of pancreatic adenocarcinoma. The internal jugular vein may also be used as an autologous graft post pancreatic resection [6] [7][8]. There are a range of synthetic grafts.

In this case, rather than using the splenic vein as an interposition graft, the splenic vein turndown technique is a novel technique. Splenic vein turndown preserves the splenic-portal vein confluence and utilizes the proximal splenic vein to anastomose the jejunal and ileal tributaries, preserving intestinal venous drainage.

The use of a splenic vein turndown technique has been successfully described in cases of SMV/PV trauma [9]. Phillips et al. reported the use of the turndown technique in one patient to repair SMV traumatic avulsion, and in a literature review of 56 articles, identified five other trauma cases where the splenic vein turndown repair was used. Of the six patients, four survived the procedure with radiological evidence of portal venous flow postoperatively [9].

In a review of PubMed, EMBASE and Google Scholar, using search terms including "splenic vein turndown" and "pancreatic cancer" or "pancreatic malignancy" or "pancreatic resection", there were no results. To the best of our knowledge, this is the first report in literature of the splenic vein turndown technique being utilized for reconstruction post-pancreatic resection for malignancy.

The splenic vein turndown technique has several limitations. Without a concomitant splenectomy, there is a high risk of segmental portal hypertension and gastric varices over time. Perigastric varices and submucosal varices detected by computed tomography scan have been reported to be as high as 70% and 20% respectively. It may also cause gastric hemorrhage and intractable bleeding, although this is rare. Splenic vein obliteration post spleen preserving distal pancreatectomy has also been described as a possible complication [10].

Although performing a splenectomy reduces the risk of segmental portal hypertension, splenectomy is not without its own risks, including the risk of overwhelming post splenectomy sepsis and the need for appropriate vaccinations and long-term antibiotics.


Conclusion

This case demonstrated the successful application of a splenic vein turndown technique for superior mesenteric vein reconstruction following pancreaticoduodenectomy and venous resection for pancreatic cancer. The technique may be considered in high risk patients who are at significant risk of anastomotic leak such as for patients with long-term corticosteroids or immunosuppressants, as it separates the vascular anastomosis from the pancreatic anastomosis, thus reducing the risk of a potential pancreatic leak disrupting the vascular anastomosis.


List of Abbreviations

AHBA/SSO Americas Hepato-Pancreatico-Biliary Association and Society of Surgical Oncology
CA 19.9 Carbohydrate Antigen 19.9
CT Computed Tomography
ERCP Endoscopic Retrograde Cholangiopancreatography
EUS Endoscopic Ultrasound
FNA Fine Needle Aspiration
HA Hepatic Artery
IDDM Insulin Dependent Diabetes Mellitus
IJV Internal Jugular Vein
IU International Units
PET Positron Emission Tomography
PV Portal Vein
SMA Superior Mesenteric Artery
SMV Superior Mesenteric Vein
U/mL Units per milliliter
mmol/L Micromole per liter

Acknowledgements

We would like to thank Catherine Keil and Lynne Roberts (SSWLHD library network) for their support in the preparation of manuscript.


References
  1. Michalski CW, Weitz J, Büchler MW. Surgery insight: Surgical management of pancreatic cancer. Nat Clin Pract Oncol 2007 Sep;4(9):526–35.   [CrossRef]   [Pubmed]    Back to citation no. 1
  2. Christians KK, Lal A, Pappas S, Quebbeman E, Evans DB. Portal vein resection. Surg Clin North Am 2010 Apr;90(2):309–22.   [CrossRef]   [Pubmed]    Back to citation no. 2
  3. Katz MH, Pisters PW, Evans DB, et al. Borderline resectable pancreatic cancer: The importance of this emerging stage of disease. J Am Coll Surg 2008 May;206(5):833–46; discussion 846–8.   [CrossRef]   [Pubmed]    Back to citation no. 3
  4. Callery MP, Chang KJ, Fishman EK, et al. Pretreatment assessment of resectable and borderline resectable pancreatic cancer: Expert consensus statement. Ann Surg Oncol 2009 Jul;16(7):1727–33.   [CrossRef]   [Pubmed]    Back to citation no. 4
  5. Evans DB, Farnell MB, Lillemoe KD, Vollmer C Jr, Strasberg SM, Schulick RD. Surgical treatment of resectable and borderline resectable pancreas cancer: Expert consensus statement. Ann Surg Oncol 2009 Jul;16(7):1736–44.   [CrossRef]   [Pubmed]    Back to citation no. 5
  6. Verma V, Li J, Lin C. Neoadjuvant Therapy for Pancreatic Cancer: Systematic Review of Postoperative Morbidity, Mortality, and Complications. Am J Clin Oncol 2016 Jun;39(3):302–13.   [CrossRef]   [Pubmed]    Back to citation no. 6
  7. Casadei R, D'Ambra M, Freyrie A, et al. Managing unsuspected tumour invasion of the superior mesenteric-portal vein during surgery for pancreatic head cancer. A case report JOP 2009 Jul 6;10(4):448–50.   [Pubmed]    Back to citation no. 7
  8. Miyata M, Nakao K, Hirose H, Hamaji M, Kawashima Y. Reconstruction of portal vein with an autograft of splenic vein. J Cardiovasc Surg (Torino) 1987 Jan-Feb;28(1):18–21.   [Pubmed]    Back to citation no. 8
  9. Phillips BT, Pasklinsky G, Watkins KT, Vosswinkel JA, Tassiopoulos AK. Splenic vein turndown repair in superior mesenteric vein trauma: A reasonable alternative. Vasc Endovascular Surg 2011 Feb;45(2):191–4.   [CrossRef]   [Pubmed]    Back to citation no. 9
  10. Yoon YS, Lee KH, Han HS, Cho JY, Ahn KS. Patency of splenic vessels after laparoscopic spleen and splenic vessel-preserving distal pancreatectomy. Br J Surg 2009 Jun;96(6):633–40.   [CrossRef]   [Pubmed]    Back to citation no. 10

[HTML Abstract]   [PDF Full Text]

Author Contributions
Emma Clout – Substantial contributions to conception and design, Acquisition of data, Drafting the article, Revising it critically for important intellectual content, Final approval of the version to be published
James Wei Tatt Toh – Substantial contributions to conception and design, Acquisition of data, Drafting the article, Revising it critically for important intellectual content, Final approval of the version to be published
Adeeb Majid – Substantial contributions to conception and design, Acquisition of data, Drafting the article, Revising it critically for important intellectual content, Final approval of the version to be published
Ju-En Tan – Substantial contributions to conception and design, Acquisition of data, Drafting the article, Final approval of the version to be published
Jim Iliopoulos – Substantial contributions to conception and design, Acquisition of data, Revising the article critically for important intellectual content, Final approval of the version to be published
Neil Merrett – Substantial contributions to conception and design, Acquisition of data, Revising the article critically for important intellectual content, Final approval of the version to be published
Guarantor of submission
The corresponding author is the guarantor of submission.
Source of support
None
Conflict of interest
Authors declare no conflict of interest.
Copyright
© 2016 Emma Clout et al. This article is distributed under the terms of Creative Commons Attribution License which permits unrestricted use, distribution and reproduction in any medium provided the original author(s) and original publisher are properly credited. Please see the copyright policy on the journal website for more information.