Case Report


Solitary pancreatic metastasis from a primary breast carcinoma: A case report

,  ,  

1 Chairman, Department of Surgery, Manila Doctors Hospital, Rm 404, Medical Arts Centre, T.M. Kalaw, Ermita, Manila, Philippines

2 Resident Physician from Manila Doctors Hospital, UN Avenue, Manila, Philippines

3 Associate Professor, Department of Surgery, University of the Philippines College of Medicine and Philippine General Hospital, Philippines

Address correspondence to:

Anthony R Perez

Associate Professor, Department of Surgery, University of the Philippines College of Medicine and Philippine General Hospital,

Philippines

Message to Corresponding Author


Article ID: 100085Z04CA2020

doi:10.5348/100085Z04CA2020CR

Access full text article on other devices

Access PDF of article on other devices

How to cite this article

Arcilla CE, Zamora HPA, Perez AR. Solitary pancreatic metastasis from a primary breast carcinoma: A case report. Int J Hepatobiliary Pancreat Dis 2020;10:100085Z04CA2020.

ABSTRACT


Breast cancer is the most frequent cancer among women. Common sites of metastatic involvement of breast cancer, in order of frequency, are bone, lung, pleura, soft tissues, and liver. Isolated metastasis to the pancreas from a primary breast cancer is a rare occurrence. Presented herein is a case of a 55-year-old female patient postmastectomy for breast carcinoma who developed signs and symptoms of obstructive jaundice secondary to a pancreatic head mass. It was documented to be metastatic from the primary breast cancer and was managed surgically to relieve the biliary obstruction.

Keywords: Breast carcinoma, Isolated metastasis, Pancreatic metastasis

Introduction


Breast cancer is the most frequent cancer among women with an estimated 1.67 million new cancer cases diagnosed in 2012 (25% of all cancers) and the second most common cancer in the world [1].

Common sites of metastatic involvement of breast cancer, in order of frequency, are bone, lung, pleura, soft tissues, and liver [2]. Metastasis to the pancreas from a different primary is very uncommon and accounts to approximately 2–5% of pancreatic malignancies [3],[4],[5]. Isolated metastasis to the pancreas from a primary breast cancer is a rare occurrence, with an incidence of only 3–5% based on few published case reports [4],[5].

We aim to add an additional case to the literature and present a 55-year-old female patient with breast cancer postmastectomy who later developed signs and symptoms of obstructive jaundice secondary to a pancreatic head mass.

Case Report


Our patient, a 55-year-old lady, was a known case of invasive lobular carcinoma left breast. She underwent modified radical mastectomy two years ago and her final histopathology revealed stage II (pT2N0M0) invasive lobular carcinoma. She was advised adjuvant chemotherapy but refused due to financial constraints. Immunohistochemical panel revealed positive estrogen and progesterone receptors (nuclear staining +3) and negative Her-2-NEU receptor and she was maintained on tamoxifen 20 mg tablet once daily.

The patient was apparently well until three weeks prior to consult when she noticed tea-colored urine. One week later, she developed pruritus, acholic stools, and icteric sclerae. No weight loss or abdominal pain was noted as this time.

Blood tests showed normal complete blood count, and Hepatitis profile was negative. Creatinine, prothrombin time, and activated partial thromboplastin time were all normal. Total bilirubin (TB), direct bilirubin (DB), and alkaline phosphatase were all elevated. Total bilirubin 113 mg%, DB 100 mg%, alkaline phosphatase 304 IU. Liver transaminases were slightly elevated. SGOT 112 KU and SGPT 174 KU.

Whole abdominal ultrasound revealed a normal liver but with dilated intrahepatic ducts. The common bile duct (CBD) was dilated, measuring 1.1 cm. No echoes within the duct were appreciated. The gallbladder was well-distended with anechoic lumen. A suspicious ill-defined hypoechoic structure at or near the pancreatic head was noted which measured 3.6 × 2.7 × 1.9 cm.

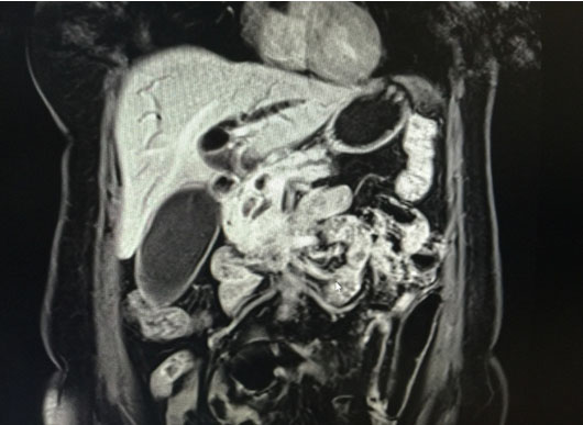
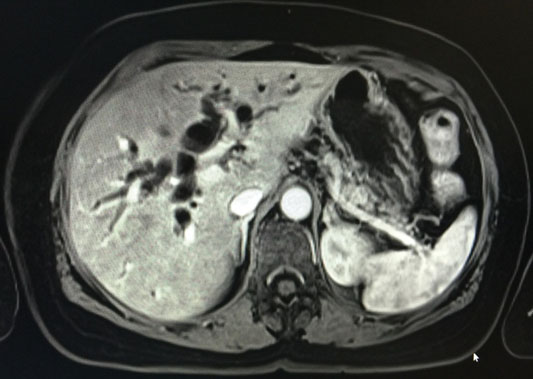
A magnetic resonance imaging (MRI) with magnetic resonance cholangiopancreatography (MRCP) revealed intra and extrahepatic biliary and pancreatic ductal dilatation, with gallbladder hydrops secondary to an obstructing lesion involving the distal CBD and pancreatic duct. The CBD was 1.7 cm with no obstructing calculus. There was a poorly defined heterogeneously enhancing soft tissue mass involving pancreatic head and uncinate process measuring 3.5 × 3.5 × 2.0 cm, which encases and obstructs the distal CBD and pancreatic duct, and abuts the duodenal wall at D2–D3 segment. Few nonspecific subcentimeter peripancreatic, aortocaval, and para-aortic lymph nodes, measuring up to 7 mm in short axis diameter, were seen (Figure 1 and Figure 2).

Physical examination revealed a patient with normal vital signs, afebrile, with jaundice and icteric sclerae; an intact postmastectomy scar with no masses palpated and no axillary lymphadenopathy; abdomen was flabby, soft, and nontender.

Chest X-ray, electrolytes and creatinine, liver function test, CA 19-9 levels were all normal. Esophagogastroduodenoscopy revealed no mass, polyps, or ulcers with the scope inserted up to the second part of the duodenum.

The patient was prepared for a possible Whipple’s procedure, obtaining consent for a probable bypass. On laparotomy, intraoperative findings showed a 4 × 3 × 3 cm hard, ill-defined, pancreatic tumor at the head and uncinate process, with multiple enlarged para-aortic and peripancreatic lymph nodes. Frozen section of the peripancreatic mass revealed a poorly differentiated adenocarcinoma. With disseminated disease precluding resection, gastrojejunostomy and cholecystojejunostomy, was performed. Postoperative course was unremarkable and the patient was discharged after seven days.

Final histopathology showed a poorly differentiated adenocarcinoma, metastatic from the breast (Figure 3). Immunohistochemistry panel showed GATA-3 positive and mammaglobin negative. Postoperative positron emission tomography (PET) scan revealed no other focus of metastases aside from the previously noted pancreatic mass and mesenteric lymph nodes.

Figure 1: MRI showing intra/extrahepatic biliary and pancreatic ductal dilatation.

Share Image:

Figure 2: MRI showing gallbladder hydrops, secondary to an obstructing lesion involving the distal CBD and pancreatic duct.

Share Image:

Figure 3: Sheets of poorly differentiated mammary ductal adenocarcinoma. (Heamtoxylin and Eosin Stain, 100× magnification).

Share Image:

Discussion


Metastasis to the pancreas is relatively uncommon, with published studies reporting an incidence of only 2–5%. Among this small population, isolated metastasis to the pancreas specifically from a primary breast cancer is much more of a rare subgroup, with an incidence of only 3–5%. In the study of Molino et al. [4], only 19 out of 23 cases of pancreatic metastases from primary breast have been found to be solitary. This study adds an additional case to this small subgroup of patients. Despite the rarity of this condition, the diagnosis of metastatic disease should still be considered in patients with a pancreatic mass and a history of breast cancer.

 

Clinical Profile

Clinical features of these patients have been profiled by Molino et al. [4] and Bednar et al. [5] in two studies. Age range was 35–81 years old, with a mean of 55 years old; majority of patients present with jaundice, followed by abdominal pain and weight loss; most cases had a histology of lobular breast carcinoma, while some had ductal carcinoma, phyllodes, and other variants. Our patient exactly fits the clinical profile as stated in both studies.

 

Diagnosis

Most asymptomatic patients with pancreatic metastases are discovered on computed tomography (CT) scan done during follow-up [4]. In this case, our patient presented with obstructive jaundice hence prompting imaging work-ups, such as ultrasound and CT scan. Positron emission tomography scan has limited role in the diagnosis of pancreatic metastasis but appears to be useful to exclude other metastatic sites [4]. It may be used as a modality to monitor advanced disease and to observe response of tumors to systemic therapy [5]. Upon consultation with the patient, a decision to forego further preoperative testing with PET or endoluminal ultrasound was made, primarily due to financial considerations.

Fine needle biopsy has been suggested as the preferred method for obtaining samples but others suggest foregoing procedure in cases of resectable pancreatic masses. If the original tumor biology is favorable, a lack of definitive biopsy should not rule out an attempt at a curative metastasectomy [5].

In most cases, the diagnosis of primary versus metastatic adenocarcinoma of the pancreas may pose a problem for clinicians. The use of immunocytochemistry may be useful to confirm a diagnosis [4]. In a study done by Fleming and Watson [6], mammaglobin was strongly immune positive in approximately 80% of all primary and metastatic breast tumors examined, and staining was independent of tumor grade. Among peripheral stem cell collections from breast cancer patients, mammaglobin mRNA could be detected in 60% of cases. Detection of mammaglobin protein and mRNA in clinical samples may be a useful marker for primary, metastatic, and occult breast cancer [6]. GATA-3 has also been explored as a marker for breast and urothelial carcinomas. Most primary and metastatic mammary carcinomas express GATA-3 (80–90%), but the expression is reportedly lower in triple-negative tumors (67%) [7]. Our patient had a positive result for GATA-3, despite a negative result for mammaglobin.

Studies on pancreatic metastasectomy have demonstrated achievable long-term survival [3]. In a systematic review done by Reddy and Wolfgang [3], pancreatic metastasectomy was deemed to be relatively safe, with reported morbidity rates of 5–48% and mortality rate of 1–2%, mostly with minor complications only requiring pharmacologic intervention. Severe complications were seen in only 6% of patients. The effectiveness of the procedure is dependent on tumor biology of the primary cancer. Pancreatic metastasectomy for a primary breast cancer results in a median survival of 26 months [3].

The goal of surgery is to have a margin-negative resection with local-regional lymphadenectomy. Dilemma remains as to whether there is significant benefit of metastasectomy versus the possible substantial morbidity after pancreatic resection. A multidisciplinary approach is encouraged with focus on a careful patient selection. The following criteria should be considered to guide clinicians on decision making: primary cancer with associated successful outcomes, control of primary cancer site, isolated metastases, resectability and patient fitness to tolerate the procedure [3]. In this particular case, a more intensive preoperative staging and histologic confirmation would have been beneficial.

Conclusion


Occurrence of a primary breast cancer metastatic to the pancreas is uncommon. Despite the rarity of the condition, a high index of suspicion is always warranted whenever a case presents similarly. A multidisciplinary approach is essential in order to optimize and individualize patient treatment. This subset of patients should undergo adequate work-up and strict patient selection is warranted in order to maximize the benefit of surgery.

REFERENCES


1.

Ferlay J, Soerjomataram I, Ervik M, et al. GLOBOCAN 2012 v1.0, Cancer Incidence and Mortality Worldwide: IARC CancerBase No. 11. Lyon, France: International Agency for Research on Cancer; 2013.   Back to citation no. 1  

2.

Brunicardi FC, Andersen DK, Billiar TR, et al. Schwartz's Principles of Surgery. 10ed. New York: McGraw Hill Education; 2014.   Back to citation no. 1  

3.

Reddy S, Wolfgang CL. The role of surgery in the management of isolated metastases to the pancreas. Lancet Oncol 2009;10(3):287–93. [CrossRef] [Pubmed]   Back to citation no. 1  

4.

Molino C, Mocerino C, Braucci A, et al. Pancreatic solitary and synchronous metastasis from breast cancer: A case report and systematic review of controversies in diagnosis and treatment. World J Surg Oncol 2014;12:2. [CrossRef] [Pubmed]   Back to citation no. 1  

5.

Bednar F, Scheiman JM, McKenna BJ, Simeone DM. Breast cancer metastases to the pancreas. J Gastrointest Surg 2013;17(10):1826–31. [CrossRef] [Pubmed]   Back to citation no. 1  

6.

Fleming TP, Watson MA. Mammaglobin, a breast-specific gene, and its utility as a marker for breast cancer. Ann N Y Acad Sci 2000;923:78–89. [CrossRef] [Pubmed]   Back to citation no. 1  

7.

Miettinen M, McCue PA, Sarlomo-Rikala M, et al. GATA3: A multispecific but potentially useful marker in surgical pathology: A systematic analysis of 2500 epithelial and nonepithelial tumors. Am J Surg Pathol 2014;38(1):13–22. [CrossRef] [Pubmed]   Back to citation no. 1  

SUPPORTING INFORMATION


Author Contributions

Crisostomo E Arcilla - Conception of the work, Design of the work, Acquisition of data, Analysis of data, Drafting the work, Revising the work critically for important intellectual content, Final approval of the version to be published, Agree to be accountable for all aspects of the work in ensuring that questions related to the accuracy or integrity of any part of the work are appropriately investigated and resolved.

Hector Paolo A Zamora - Conception of the work, Design of the work, Acquisition of data, Analysis of data, Drafting the work, Final approval of the version to be published, Agree to be accountable for all aspects of the work in ensuring that questions related to the accuracy or integrity of any part of the work are appropriately investigated and resolved.

Anthony R Perez - Drafting the work, Revising the work critically for important intellectual content, Final approval of the version to be published, Agree to be accountable for all aspects of the work in ensuring that questions related to the accuracy or integrity of any part of the work are appropriately investigated and resolved.

Guarantor of Submission

The corresponding author is the guarantor of submission.

Source of Support

None

Consent Statement

Written informed consent was obtained from the patient for publication of this article.

Data Availability

All relevant data are within the paper and its Supporting Information files.

Conflict of Interest

Authors declare no conflict of interest.

Copyright

© 2020 Crisostomo E Arcilla et al. This article is distributed under the terms of Creative Commons Attribution License which permits unrestricted use, distribution and reproduction in any medium provided the original author(s) and original publisher are properly credited. Please see the copyright policy on the journal website for more information.