Case Report


Ascaris lumbricoides in hepatic vein; a case of a common parasite in an ectopic site

1 Department of Medicine, College of Medical Sciences, PMB 1069, University of Maiduguri, Borno State, Nigeria

Address correspondence to:

Ballah Akawu Denue

Department of Medicine, College of Medical Sciences, PMB 1069, University of Maiduguri, Borno State,

Nigeria

Message to Corresponding Author


Article ID: 100081Z04BD2018

doi:10.5348/100081Z04BD2018CR

Access full text article on other devices

Access PDF of article on other devices

How to cite this article

Denue BA. Ascaris lumbricoides in hepatic vein; a case of a common parasite in an ectopic site. Int J Hepatobiliary Pancreat Dis 2018;8:100081Z04BD2018.

ABSTRACT


Introduction: Ascaris lumbricoides is amongst the common helminthic disease worldwide. It is more prevalent in tropical and subtropical regions, especially in communities with dearth of basic amenities and poor socioeconomic conditions. Despite high incidence of intestinal ascariasis, and rare involvement of biliary and pancreatic tree, ectopic involvement of hepatic vein with adult worm is extremely rare.

Case Report: We report a case of 53-year-old male senior civil servant that presented with two months history of vague abdominal pain and nausea. Abdominal ultrasound scan revealed adult worm within the main trunk of the intrahepatic portal vein. Sonography was repeated on the 14th day after seven days of oral albendazole 400 mg daily. It showed complete disappearance of the adult worm devoid of residual focal lesion.

Conclusion: We report a rare case of intrahepatic adult worm in-situ portal vein that responded to oral antihelminthes. Sonography is an inexpensive, safe, non-invasive and valuable investigative tool that allows the observation of ascaris lumbroicoides in the liver.

Keywords: Ascaris lumbricoides, Intrahepatic, Sonography

Introduction


Ascariasis, a disease caused by ascaris lumbricoides is the most frequent intestinal helminthiasis. It prevalence is high in tropical and sub-tropical regions where hygiene conditions are unfavorable [1]. Ascariasis has two presentation forms; intestinal and extra intestinal. Intestinal manifestations are dependent on the amount of parasites residing in the digestive tract and, typically, patients are asymptomatic in mild cases [2]. When the parasite load is moderate, non-specific digestive alteration manifest as abdominal colic, hypopyrexia, nausea,vomiting and malabsorption. High parasite load, especially in children, worms pack together within the small bowel and cause obstructive symptoms [3]. Unusual locations for Ascaris worm include gall bladder, bile duct, hepatic duct and pancreatic ducts. Ascariasis-related complications of the biliary and pancreatic systems are often caused by adult worm migrating across the ampulla of vater, leading to obstruction and other related complications [2],[3]. High parasitic load in the intestine forces the ascaris lumbricoides to unusual locations. Despite the high incidence of intestinal ascariasis in underdeveloped countries, ectopic ascariasis in-situ portal vein is extremely rare.

Case Report


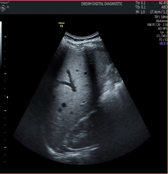
We report a case of a 53-year-old male patient, who presented with complaint of two months history of vague abdominal pain and nausea. There were no other associated symptoms. The results of his complete blood counts parameters were essentially within normal limits. Erythrocyte sedimentation rate was 65 mm/hour. Liver function test and renal function test parameters were also within normal limits. Chest X-ray result showed no abnormality. Fasting lipid profile was essentially within normal limits. Abdominal sonography revealed “serpentine” echogenic focus with peripheral halo in keeping with adult ascaris lumbricoides within the main trunk of the intrahepatic portal vein.Repeat sonography done on the 14th day after 7 days of oral albendazole 400mg administered once daily showed complete disappearance of the adult worm devoid of residual focal lesion. We report this case due to its unique and rare presentation, and also to emphasize the need to consider heminthiasis among the differential diagnosis of focal hepatic lesion in helminthiasis endemic region. This report further repatriates the need for medical therapy rather than overzealous invasive and surgical approach as the first-line treatment for uncomplicated intrahepatic ascariasis (Figure 1), (Figure 2).

Figure 1: (A and B) : Sonography showing “serpentine” echogenic focus with peripheral halo within the main trunk of the intrahepatic portal vein.

Share Image:

Figure 2: Repeat sonography of the liver on 14th day, after one week of medication.

Share Image:

Discussion


Global estimates indicates that more than one billion infestation due to ascaris lumbricoides exist. The incidence is disproportionately higher in developing countries of south America, Asia and Africa [4]. The prevalence of ascariasis is directly associated with poor hygiene in the setting of low socioeconomic condition [3],[4]. The incidences are exacerbated by malnutrition, the parasitic load and the peculiar parasite biology [4]. Despite high incidence of ascariasis in underdeveloped countries such as sub Saharan Africa, extra intestinal complications such as partial or total obstruction of the hepatobiliary tree and pancrease is uncommon [5]. Intra hepatic ascariasis with focus within the hepatic parenchyma is extremely rare [6]. This case report illustrates the importance of sonography in both diagnosis and monitoring treatment of intrahepatic ascariasis. The finding of living worm as evidenced by display of slow “serpentine” motion within the main trunk of the hepatic vein in this report underscores the value of sonography in establishing the diagnosis of ascariasis within hepatic parenchyma [7]. Sonography is a diagnostic tool of choice in developing countries characterized by dearth of expertise and facilities for invasive and more expensive investigations such as Endoscopic Retrograde Cholangio- Pancreatography (ERCP) or intravenous cholangiography [8]. The ERCP is also an invasive procedure that requires expertise to perform, sonography on the other hand is noninvasive, relatively inexpensive, easy to operate and readily available in developing countries. On sonography, ascaris lumbricoides appear as tubular, echogenic, nonshadowing structure, often containing a thin, longitudinal central sonolucent lines. It also has the advantage of monitoring response to anti-helminthic medication [5],[6],[7],[8]. Unless intra hepatic ascariasis is complicated by abscess where surgical drainage may be necessary, antihelminthic medication is the treatment of choice [8], [9]. In the index case, the patient had oral Albendazole 400 mg once daily for one week. The sonography feature of “serpentine” echogenic focus that occupied the main trunk of the intrahepatic portal vein with peripheral halo as shown in Figure 1, disappear after medication as shown in Figure 2. Surgical procedures are favoured for parasites within the bile duct, as the death of parasite from anti-helminthic medication can result in necrotic focus and risk of stone formation; consequently, recurrent suppurative cholangitis, abscess or sepsis can occur. Ascaris worm possess high glucoronidase activity that deconjugate bilirubin and subsequent stone formation. The risk of helminthes-related hypersensitivity reaction is also increased with dead worms in ectopic focus, as it can result in development of urticaria, dyspnoea, and bronchial asthma. Endotoxins present in adult worm could also lead to ascaridian encephalopathy that often manifest as epileptic seizures, feverish saccade or irritability [3],[6],[9]. Other laboratory parameters were within normal limits. As observed in the index case, hypereosinophilia is often absent; it is usually elevated at initial stages of infestation during early larval migration [8],[9]. The abdominal pain and nausea regressed remarkably within three days of medication in the index case. No feature suggestive of helminthes-related hypersensitivity, cholangitis, abscess or sepsis from necrotic focus was observed after two months of follow-up.

RECOMMENDATION


It is valuable to contextualize evaluation of patients based on prevalent disease in a particular environment and socio-economic reality.

Conclusion


We report a rare case of intrahepatic adult worm insitu portal vein, that responded to oral anti-helminthes. The finding of an adult worm in hepatic vein underscores the need for thorough investigating patients with vague abdominal symptoms in our setting. Sonography is an inexpensive, safe, non-invasive and valuable investigative tool that allows the observation of ascaris lumbroicoides in the liver.

REFERENCES


1.

Vagholkar K, Suryawanshi S, Subudhi S, Vagholkar S. Hepatobiliary ascariasis. Int Surg J 2017;4(3):1087–9. [CrossRef]   Back to citation no. 1  

2.

Sundriyal D, Bansal S, Kumar N, Sharma N. Biliary ascariasis: Radiological clue to diagnosis. Oxf Med Case Reports 2015 Mar 26;2015(3):246–7. [CrossRef] [Pubmed]   Back to citation no. 1  

3.

Levinson W, Jawetz E. Nematodes. In: Levinson W, editor. Medical Microbiology and Immunology, 7ed. Boston: McGraw Hill; 2003. p. 343–52.   Back to citation no. 1  

4.

Brooker S. Estimating the global distribution and disease burden of intestinal nematode infections: Adding up the numbers – A review. Int J Parasitol 2010 Aug 15;40(10):1137–44. [CrossRef] [Pubmed]   Back to citation no. 1  

5.

O'Lorcain P, Holland CV. The public health importance of Ascaris lumbricoides. Parasitology 2000;121 Suppl:S51–71. [Pubmed]   Back to citation no. 1  

6.

Rabelo MG, Lima BJC, Cunha QCM, Freitas FD, Troiani NG, Menezes FJ. Intrahepatic ascariasis leading to liver abscess. J Liver Res Disord Ther 2017;3(4):87–8. [CrossRef]   Back to citation no. 1  

7.

Fernandez LJ. Ascaraisis. In: Luts HT, Gharbi HA, editors. Manual of Diagnostic Ultrasound in Infectious Tropical Dseases. Heidelberg: Springer-Verlag Berlin; 2006. p. 109–14.   Back to citation no. 1  

8.

Das CJ, Kumar J, Debnath J, Chaudhry A. Imaging of ascariasis. Australas Radiol 2007 Dec;51(6):500–6. [CrossRef] [Pubmed]   Back to citation no. 1  

9.

Castillo EM, González AL. Hepatobiliary ascariasis: A case report. Rev Med Hondur 2011;79(2):75– 8.   Back to citation no. 1  

SUPPORTING INFORMATION


Author Contributions

Ballah Akawu Denue - Substantial contributions to conception and design, Acquisition of data, Analysis of data, Interpretation of data, Drafting the article, Revising it critically for important intellectual content, Final approval of the version to be published

Guarantor of Submission

The corresponding author is the guarantor of submission.

Source of Support

None

Consent Statement

Written informed consent was obtained from the patient for publication of this case report.

Data Availability

All relevant data are within the paper and its Supporting Information files.

Conflict of Interest

Authors declare no conflict of interest.

Copyright

© 2018 Ballah Akawu Denue. This article is distributed under the terms of Creative Commons Attribution License which permits unrestricted use, distribution and reproduction in any medium provided the original author(s) and original publisher are properly credited. Please see the copyright policy on the journal website for more information.