Case Report
 
Diagnosis of pancreatic cystic lymphangioma in an 11-year-old boy with endoscopic ultrasound-guided fine needle aspiration: A case report
Qian Chen1, Yun Wang1, Jinglin Wang1, Wei Hou1, Biao Zou2, Bin Cheng1
1Endoscopy Unit of the Gastroenterology and Hepatology Department, Tongji Hospital of Tongji Medical College of Huazhong University of Science and Technology (HUST), Wuhan, China.
2Pediatric Department, Tongji Hospital of Tongji Medical College of HUST, Wuhan, China.

Article ID: 100064IJHPDQC2016
doi:10.5348/ijhpd-2016-64-CR-20

Address correspondence to:
Professor Bin Cheng
Department of Gastroenterology and Hepatology, Tongji Hospital of Tongji Medical College of HUST
Jie Fang Avenue 1095
Wuhan 430030, P.R.
China

Access full text article on other devices

  Access PDF of article on other devices

[HTML Abstract]   [PDF Full Text] [Print This Article]
[Similar article in Pumed] [Similar article in Google Scholar]

How to cite this article:
Chen Q, Wang Y, Wang J, Hou W, Zou B, Cheng B. Diagnosis of pancreatic cystic lymphangioma in an 11-year-old boy with endoscopic ultrasound-guided fine needle aspiration: A case report. Int J Hepatobiliary Pancreat Dis 2016;6:114–120.


Abstract
Introduction: Pancreatic cystic lymphangioma (PCL) is an extremely rare benign tumor of lymphatic origin. Traditionally, it is diagnosed at surgery performed on a patient with a retroperitoneal cyst of unclear etiology. However, recently a few single case reports showed PCL was successfully diagnosed by endoscopic ultrasound with fine-needle aspiration (EUS-FNA).
Case Report: We present a new case of PCL in an 11-year-old boy who came to our hospital for swelling of the body. A contrast-enhanced computed tomography scan revealed a 7.7×4.5 cm cystic lesion involving head and neck of the pancreas. EUS-FNA was subsequently performed and diagnosis of PCL was made based on result of cytological examination and measurement of aspirate.
Conclusion: In agreement with previous reports, we show that EUS-FNA confirmed the cystic lesion in pancreas and further provided the gross, biochemical and cytological features supporting accurate diagnosis of PCL.

Keywords: Endoscopic ultrasound, Fine-needle aspiration, Pancreatic cystic lymphangioma


Introduction

Pancreatic cystic lymphangioma (PCL) is extremely rare benign neoplasm originating from congenital malformations of the lymphatics that occur within the pancreatic parenchyma or peripancreatic soft tissue [1]. It accounts for only 0.2% of pancreatic lesions [2]. Radiographically, PCL can present as large, solitary, unilocular to multicystic lesions, of which require to distinguish it from more common cystic lesions, including serous cystadenoma, mucinous cystic neoplasm and branch duct intraductal papillary mucinous neoplasm (IPMN) [1]. In the past, the diagnosis PCL was made at surgery performed to exclude a neoplastic cystic lesion in an asymptomatic patient [3]. However, since the first report by Adwait in 2005, there have been 15 single cases from 9 reports in which the diagnosis was made by EUS-FNA and because of the likely benign nature of this lesion, most of these patients were monitored with close follow-up and imaging studies after the diagnosis [4]. We recently diagnosed PCL in an 11-year-old boy by EUS-FNA. As far as we searched, there is only one PCL case report performed EUS-FNA for a six-year-old child [5]. Given PCL is extremely rare but present a diagnostic conundrum as lack of the suggestive imaging features, it prompts us to report this case and to conduct a review of literature.


Case Report

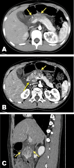
An 11-year-old boy was admitted to our hospital in May 2016 because of the edema of face and extremities, and anorexia in the previous four years. He is 152 cm and 52 kg. He also complained a mild abdominal pain for a day. He had soft stool daily. The abdominal ultrasound showed a multiloculated anechoic cystic mass adjacent to the head and neck of the pancreas. A contrast-enhanced computed tomography (CT) scan revealed a 7.7×4.5 cm cystic lesion involving head and neck of the pancreas (Figure 1), and also showed diffuse thickening of gallbladder wall. No evidence of pancreatic or biliary duct dilation was seen.

Laboratory results included total serum protein 35.8 g/L (normal range 60–80 g/L), serum albumin 17.2 g/L (normal range 38–54 g/L), and serum globulin 18.6g/L (normal range 20–35 g/L), indicating hypoproteinemia, hypoalbuminemia, and hypoglobulinemia. Serum Immunoglobulin G (IgG), IgA and IgM levels were low as IgG 0.93 g/L, IgA 0.20g/L, IgM 0.48 g/L, of which suggested lymphocytopenia. Consistently, the blood cell count revealed low peripheral leukocyte count of 2.6x109/L (normal range 3.5–9.5x109/L) and low lymphocyte count of 0.3x109/L (normal range 1.1–3.2x109/L). Amylase and lipase were slightly lower, 11 U/L (normal range 20–35 U/L) and 12.6 U/L (normal range 13–60 U/L), respectively. Serum levels of triglycerides and cholesterol were normal, but electrolyte values showed low potassium 3.02 nmol/L. Fecal fat test showed negative results, indicating no steatorrhea. Urinalyses were within normal limits.

The patient was suspected of having malabsorption and a protein-losing enteropathy (PLE). Nevertheless first to elucidate whether the mass in pancreas was malignant or benign, the patient was subsequently referred to our center for an EUS evaluation. EUS was performed under deep sedation according to the principles of "monitored anesthesia care". The patient received oxygen, and blood pressure and heart rate were monitored during the procedure. The procedure was performed by a single experienced endosonographer with more than five years of EUS experience, who had performed more than 300 EUS procedures and more than 150 EUS–FNA annually. Curved linear-array EUS (GF-UCT 260; Olympus, Japan) was performed showing an anechoic cyst located at the head and neck of pancreas, approximately 2.3 cm in cross section. No perilesional lymphadenopathy was noted. The imaged portions of the liver, pancreas, and biliary tree were otherwise normal. A 22-gauge needle was advanced through the mucosa of duodenal wall and into the targeted lesion in pancreatic head (Figure 2) (EchoTip Ultra; Cook Endoscopy, Ireland). Fine-needle aspiration (FNA) was performed under EUS guidance whereas after three passes of drainage, yet no remarkable reduce of the size of cyst was observed. Approximately, 18 mL of chylous white fluid (Figure 3) was collected and sent for cytology and laboratory analysis.

Biochemical analyses revealed an amylase level of 74 U/L, carcinoembryonic antigen (CEA) of < 0.5 ng/mL, and a markedly elevated triglyceride level of >5,000 mg/dL. Cytology was negative for malignancy and revealed fibrinous fluid with a few relatively uniform small lymphocytes present. A diagnosis of pancreatic cystic lymphangioma was made and no further diagnostic testing such as immunostaining was conducted. Patient was suggested to have further evaluation, such as colonoscopy, but declined by his parents who subsequently agreed to follow-up.


Cursor on image to zoom/Click text to open image
Figure 1: Suspected cystic mass in the pancreatic head and neck as seen on computed tomography scans (Yellow arrows, suspected cystic mass). Axial CT with no enhancement (A) or with two-phase contrast, (B) exhibiting an interconnecting cysts separated by septa in the pancreatic head and neck. Reconstruction in sagittal projection, and arterial phase demonstrating poor enhancement of the lesion (C).



Cursor on image to zoom/Click text to open image
Figure 2: (A) EUS view of the pancreatic cystic lesion. Radial scanning EUS image (5 mHz) showing cyst in pancreatic head. Color Doppler ultrasound was used to exclude interposed vessel in the needle path, (B) FNA was performed under EUS guidance after advancing needle through the mucosa of duodenal wall and into the targeted lesion in pancreatic head.



Cursor on image to zoom/Click text to open image
Figure 3: A syringe filled with white and chylous fluid aspirated from the cystic lesion.



Cursor on image to zoom/Click text to open image
Figure 4: Aspiration cytology showing a few mature lymphocytes with no atypia (Giemsa stain, x200).



Discussion

Distinguishing mucinous from non-mucinous cystic lesions of the pancreas often constitutes a diagnostic dilemma. The clinical management differs between such lesions. Therefore, it is important to make an accurate preoperative diagnosis. EUS-FNA has emerged as an extremely useful modality in the diagnosis and management of cystic lesions of the panaceas, in particular the growing role in evaluating uncommon cystic lesions such as PCL [6]. On a review of published English literature, we found around 60 case reports on PCLs based on surgical pathology, while recent reports including this one, together 16 cases, have appropriately demonstrated the usefulness of EUS-FNA in the evaluation of this rare lesion (Table 1) and (Table 2) [1][2][3][4][5] [7][8][9][10].

Pancreatic cystic lymphangioma originates from congenital malformations of the lymphatics, such as the proliferation and dilatation of blind ended lymphatic sacs which lack proper connections with the venous system that occur within the pancreatic parenchyma or peripancreatic soft tissue [1] [11]. The theory of a congenital aetiology may suggest most cases should be present in childhood. Other potential causes are thought to include, abdominal trauma, localized lymphatic degeneration and lymphatic obstruction. Nevertheless, the collected series suggested PCL found in middle-aged, asymptomatic women [1] [12]. For patients initially diagnosed with EUS-FNA, we found the age ranged from 6 to 79 years, with a mean of 47.6 years (Table 1). Female-to-male ratio is 14:2, in which does seem to be a true predilection for females.

Pancreatic cystic lymphangioma consists of interconnecting cysts that are separated by septa and contain serous serosanguineous and chylous fluid [1]. Histologically, the cysts are lined by benign-appearing endothelial cells that react with anti-CD31 and anti-factor VIII-R Ag antibodies, but usually negative for CD34, a human progenitor cell antigen. Furthermore, Edina et al. showed the septa between lymphatic spaces were immunoreactive for alpha-smooth muscle actin (alpha-SMA), a marker for myofibroblasts [12]. The role of EUS-FNA in the evaluation of uncommon cystic lesions such as PCL has been less clear. Our search of recent reports, including this one, supports EUS-FNA provides the gross, biochemical and cytological features in examining PCL. Grossly, no cyst fluid was thick or viscous, indicating not a mucinous cyst. Most of aspirated cyst fluids were reminiscent of chylous fluids described as milky due to the high triglyceride content (Table 2). Although another two cases showed serous fluid, further special stains for mucin were negative, but yet the fluid analysis may not lead to a definitive diagnosis [1] [5]. Thus when the fluid is grossly chylous and the triglyceride level is significantly elevated, as in this case, the diagnosis of a pancreatic cystic lymphangioma can be made with confidence.

For biochemical analyses of often paucicellular cyst aspirates, tumor markers as well as enzyme markers are now routinely performed to aide in the diagnosis, in which help distinguish non-mucinous cysts, such as pseudocyst and serous cystadenoma, from mucinous cysts, mucinous cystic neoplasm and IPMN [13] [14]. For example, a cut-off of CEA levels ≥192–200 ng/mL is approximately 80% accurate for the diagnosis of a mucinous cyst [15]. In addition, amylase levels elevated to the thousands are almost universally suggestive to pseudocysts. Consistently, those PCL cases reviewed from literature showed low CEA (<20 ng/mL) and amylase levels ranged from 41–276 U/L, except one case just over 2000U/L, which is equivocal but still rather low for a pseudocyst [1].

Cytological analysis of cyst fluid provided the final piece of data to support the diagnosis of lymphangioma. In literature (Table 1) and (Table 2), 11 cases provide cytology that revealed rich population of small, mature lymphocytes and in addition, macrophages and benign epithelial cells were seen in a few cases [2] [4]. It has been suggested that such a rich population of lymphocytes is not a feature of serous or mucinous cysts [16]. Although lymphocytes may be seen in pseudocysts and lymphoepithelial cysts, other characteristics of the cyst fluids in both of these cystic lesions separate them from lymphangioma [17][18]. For instance, pseudocyst fluid is generally brown or bloody and filled with histiocytes and mixed inflammatory cells with a proteinaceous background. Lymphoepithelial cysts have a characteristic combination of anucleated and nucleated squamous cells and keratinous debris with small mature lymphocytes. Furthermore, sampling the collapsed walls of the cyst with the FNA needle may also increase the diagnostic yield [5].

Pancreatic cystic lymphangioma is not considered premalignant lesions, and consequently, expectant management with clinical follow-up and surveillance imaging has been proposed as a reasonable approach, especially in asymptomatic patients. Our search of literature showed 11 out of 15 diagnosed with EUS-FNA underwent nonsurgical management (Table 1). For those subsequently had been followed, the clinical follow-up ranged from 4–42 months, with a mean of 17.8 months and there was no evidence of progressive disease. Symptomatic patients may show abdominal pain and/or distension; nausea, vomiting, diarrhea; decreased appetite and malnourishment and may also rarely be associated with complications such as infection, rupture, torsion, bleeding, or obstruction [12]. For those symptomatic patients, surgical referral for removal is often offered while sometimes it could be declined, thus management is more challenging. One report stated that EUS-guided drainage resulted in complete relief of symptoms initially, but the recurrence of the lesion and symptoms was observed four months later [10]. Therefore, the complete surgical excision seems to be mandatory to prevent recurrence when the significant symptoms are present. In our case, the 11-year old boy had severe symptoms, including abdominal pain, anorexia, hypoproteinemia, hypoalbuminemia, and hypoglobulinemia leading to systemic edema, including face and lower limb edema, also the thickening of gallbladder wall that mimics pericholecystic fluid and swollen intestine wall by CT image likely caused by subserosal edema (unpublished data). We think the atypical symptom for PCL maybe caused by chronic cystic lesion in pancreas (at least four years), affecting exocrine pancreatic functions and protein digestion, and subsequently metabolic insults, as vaguely reduced amylase and lipase level were detected. Another possibility of the cause of hypoproteinemia is malabsorption or protein-losing enteropathy (PLE) resulted from primary gastrointestinal mucosal diseases (typically ulcerative/erosive). However, no history of diarrhea was told by his parents. Increased interstitial pressure or lymphatic obstruction in intestine also leads to protein loss.

The patient was offered to have further evaluation but unfortunately, he was discharged soon afterwards. Up to now during our manuscript preparation, we have contacted the parents several times and were told the boy went to a different hospital. During that period, several tests have been performed to investigate the possible etiology of PLE. To rule out lymphatic system disorders, two lab tests, including lymphoscintigraphy and 99mTechnetium-labeled human serum albumin (99mTc-HSA) scintigraphy were performed. Intrinsically, the patient's 99mTc-HSA scintigraphy result suggested a protein leakage at cecum and small bowl region, while lymphoscintigraphy showed marked enhancement in abdomen, which indicates protein leakage into this region. Therefore, it suggests besides PCL, the patient may have a primary intestinal lymphangiectasia (PIL), another rare disorder of unknown etiology characterized by diffuse or localized dilation and eventual rupture of the enteric lymphatic vessels in mucosa, submucosa, and/or subserosa [19]. Primary intestinal lymphangiectasia is normally diagnosed by features of severe hypoproteinemia, endoscopic changes, and histology of jejunum biopsy [20] .

We discussed the requirement of further evaluation, including colonoscopy and/or the diagnostic and operative laparoscopy for cyst removal, but the parents declined. The boy was treated with albumin infusion. Given to possible diagnosis of PIL, he was also recommended with long-term dietary control based on a low-fat regimen associated with supplementary medium-chain triglycerides (MCT). He was soon discharged from hospital after serum albumin and globulin level went to normal, and therefore we are unable to obtain a final diagnosis of PIL at this stage. However, special attention is required to follow his diagnosis and treatment.


Cursor on image to zoom/Click text to open image
Table 1: Clinical characteristics of patients with PCL diagnosed by EUS-FNA



Cursor on image to zoom/Click text to open image
Table 2: Laboratory results of PCL diagnosed by EUS-FNA




Conclusion

Pancreatic cysts can be accurately identified for the specific subtypes, based on a combination of the clinical history, sex, imaging characteristics, cytology, and cyst fluid and chemical analyses of cystic contents. The new guidelines for management pancreatic cystic lesions highlighted the roles of EUS-FNA in distinguishing IPMN from mucinous cystic neoplasm (MCN). However, no information has been obtained regarding diagnosis and management of pancreatic cystic lymphangioma (PCL) since it is extremely rare. In our experience, we think EUS-FNA can provide supportive evidence for diagnosing PCL based on the gross, biochemical and cytological features from aspiration of these difficult-to-characterize cystic lesions. Given to the decision to surgical resection is currently based on the presence or absence of symptoms, also the risk of malignancy as well as the surgical risk for the patient, EUS-FNA can be used to establish a definite preoperative diagnosis, and, hence, allow for the conservative management of patients who are asymptomatic. Hence, future studies should be encouraged to establish guidelines for management of PCL.


Acknowledgements

We would like to thank all the staffs at the endoscopy unit of Tongji hospital for their contributions.


References
  1. Fonseca R, Pitman MB. Lymphangioma of the pancreas: A multimodal approach to pre-operative diagnosis. Cytopathology 2013 Jun;24(3):172–6.   [CrossRef]   [Pubmed]    Back to citation no. 1
  2. Coe AW, Evans J, Conway J. Pancreas cystic lymphangioma diagnosed with EUS-FNA. JOP 2012 May 10;13(3):282–4.   [Pubmed]    Back to citation no. 2
  3. Dries AM, McDermott J. Diagnosis of cystic lymphangioma of the pancreas with endoscopic ultrasound-guided fine needle aspiration. Am J Gastroenterol 2008 Apr;103(4):1049–50.   [CrossRef]   [Pubmed]    Back to citation no. 3
  4. Jathal A, Arsenescu R, Crowe G, Movva R, Shamoun DK. Diagnosis of pancreatic cystic lymphangioma with EUS-guided FNA: Report of a case. Gastrointest Endosc 2005 Jun;61(7):920–2.   [CrossRef]   [Pubmed]    Back to citation no. 4
  5. Bhatia V, Rastogi A, Saluja SS, et al. Cystic pancreatic lymphangioma. The first report of a preoperative pathological diagnosis by endoscopic ultrasound-guided cyst aspiration. JOP 2011 Sep 9;12(5):473–6.   [Pubmed]    Back to citation no. 5
  6. Hernandez LV, Mishra G, Forsmark C, et al. Role of endoscopic ultrasound (EUS) and EUS-guided fine needle aspiration in the diagnosis and treatment of cystic lesions of the pancreas. Pancreas 2002 Oct;25(3):222–8.   [Pubmed]    Back to citation no. 6
  7. Applebaum B, Cunningham JT. Two cases of cystic lymphangioma of the pancreas: A rare finding in endoscopic ultrasonography. Endoscopy 2006;38 Suppl 2:E24–5.   [CrossRef]   [Pubmed]    Back to citation no. 7
  8. Sanaka MR, Kowalski TE. Cystic lymphangioma of the pancreas. Clin Gastroenterol Hepatol 2007 Mar;5(3):e10–1.   [CrossRef]   [Pubmed]    Back to citation no. 8
  9. Barresi L, Tarantino I, Curcio G, et al. Pancreatic cystic lymphangioma in a 6-year-old girl, diagnosed by endoscopic ultrasound (EUS) fine needle aspiration. Endoscopy 2011;43 Suppl 2 UCTN:E61–2.   [CrossRef]   [Pubmed]    Back to citation no. 9
  10. Mansour NM, Salyers WJ Jr. Recurrence of a pancreatic cystic lymphangioma after diagnosis and complete drainage by endoscopic ultrasound with fine-needle aspiration. JOP 2013 May 10;14(3):280–2.   [CrossRef]   [Pubmed]    Back to citation no. 10
  11. Weeda VB, Booij KA, Aronson DC. Mesenteric cystic lymphangioma: A congenital and an acquired anomaly? Two cases and a review of the literature. J Pediatr Surg 2008 Jun;43(6):1206–8.   [CrossRef]   [Pubmed]    Back to citation no. 11
  12. Paal E, Thompson LD, Heffess CS. A clinicopathologic and immunohistochemical study of ten pancreatic lymphangiomas and a review of the literature. Cancer 1998 Jun 1;82(11):2150–8.   [Pubmed]    Back to citation no. 12
  13. Linder JD, Geenen JE, Catalano MF. Cyst fluid analysis obtained by EUS-guided FNA in the evaluation of discrete cystic neoplasms of the pancreas: A prospective single-center experience. Gastrointest Endosc 2006 Nov;64(5):697–702.   [CrossRef]   [Pubmed]    Back to citation no. 13
  14. O'Toole D, Palazzo L, Hammel P, et al. Macrocystic pancreatic cystadenoma: The role of EUS and cyst fluid analysis in distinguishing mucinous and serous lesions. Gastrointest Endosc 2004 Jun;59(7):823–9.   [CrossRef]   [Pubmed]    Back to citation no. 14
  15. Tanaka M, Fernández-del Castillo C, Adsay V, et al. International consensus guidelines 2012 for the management of IPMN and MCN of the pancreas. Pancreatology 2012 May-Jun;12(3):183–97.   [CrossRef]   [Pubmed]    Back to citation no. 15
  16. Frossard JL, Amouyal P, Amouyal G, et al. Performance of endosonography-guided fine needle aspiration and biopsy in the diagnosis of pancreatic cystic lesions. Am J Gastroenterol 2003 Jul;98(7):1516–24.   [CrossRef]   [Pubmed]    Back to citation no. 16
  17. Gonzalez Obeso E, Murphy E, Brugge W, Deshpande V. Pseudocyst of the pancreas: The role of cytology and special stains for mucin. Cancer 2009 Apr 25;117(2):101–7.   [Pubmed]    Back to citation no. 17
  18. Jian B, Kimbrell HZ, Sepulveda A, Yu G. Lymphoepithelial cysts of the pancreas: Endosonography-guided fine needle aspiration. Diagn Cytopathol 2008 Sep;36(9):662–5.   [CrossRef]   [Pubmed]    Back to citation no. 18
  19. Vignes S, Bellanger J. Primary intestinal lymphangiectasia (Waldmann's disease). Orphanet J Rare Dis 2008 Feb 22;3:5.   [CrossRef]   [Pubmed]    Back to citation no. 19
  20. Wang X, Jin H, Wu W. Primary Intestinal Lymphangiectasia Manifested as Unusual Edemas and Effusions: A Case Report. Medicine (Baltimore) 2016 Mar;95(10):e2849.   [CrossRef]   [Pubmed]    Back to citation no. 20

[HTML Abstract]   [PDF Full Text]

Author Contributions
Qian Chen – Substantial contributions to conception and design, conducting the literature search, Acquisition of data, Drafting the article, Revising it critically for important intellectual content, Final approval of the version to be published
Yun Wang – Substantial contributions to conception and design, Acquisition of data, Drafting the article, Revising it critically for important intellectual content, Final approval of the version to be published conducted
Jinglin Wang – Substantial contributions to conception and design, Acquisition of data, Revising it critically for important intellectual content, Final approval of the version to be published conducted
Wei Hou – Substantial contributions to conception and design, Acquisition of data, Revising it critically for important intellectual content, Final approval of the version to be published conducted
Biao Zou – Substantial contributions to conception and design, Acquisition of data, Revising it critically for important intellectual content, Final approval of the version to be published conducted
Bin Cheng – Substantial contributions to conception and design, Drafting the article, revising it critically for important intellectual content, Final approval of the version to be published conducted
Guarantor of submission
The corresponding author is the guarantor of submission.
Source of support
None
Conflict of interest
Authors declare no conflict of interest.
Copyright
© 2016 Qian Chen et al. This article is distributed under the terms of Creative Commons Attribution License which permits unrestricted use, distribution and reproduction in any medium provided the original author(s) and original publisher are properly credited. Please see the copyright policy on the journal website for more information.