Table of Contents    
Case Report
 
Survival after radical resection for locally advanced gallbladder squamous cell carcinoma: A case report
Anthony Relucio Perez1, Mary Ellen Chiong Perez2
1MD, MHA, FACS, FPCS, Associate Professor of Surgery, Division of Hepatobiliary and Pancreatic Surgery, University of the Philippines College of Medicine and Philippine General Hospital, Manila, Philippines.
2MD, Clinic Associate Professor, Department of Anesthesiology, University of the Philippines College of Medicine and Philippine General Hospital, Manila, Philippines.

Article ID: 100050IJHPDAP2016
doi:10.5348/ijhpd-2016-50-CR-6

Address correspondence to:
Anthony Relucio Perez
MD, MHA, UP-PGH Medical Center Department of Surgery
Taft Avenue
Manila
Philippines, 1000

Access full text article on other devices

  Access PDF of article on other devices

[HTML Abstract]   [PDF Full Text] [Print This Article]
[Similar article in Pumed] [Similar article in Google Scholar]

How to cite this article:
Perez AR, Perez MEC. Survival after radical resection for locally advanced gallbladder squamous cell carcinoma: A case report. Int J Hepatobiliary Pancreat Dis 2016;6:26–29.


Abstract
Introduction: Squamous cell carcinomas primarily arising from the gallbladder are rare. Tumors are usually discovered in an advanced stage and adjuvant modalities are ineffective, leading to a dismal prognosis. Although surgery is potentially curative, very few patients present with resectable disease.
Case Report: A 65 year old female was admitted for an intra-abdominal mass which on preoperative imaging originated from the gallbladder. Laparotomy revealed a huge gallbladder tumor invading the adjacent gastric antrum and the transverse colon. Cholecystectomy with en bloc hepatic segmentectomy, antrectomy, transverse colectomy and lymphadenectomy was performed. Histopathologic examination revealed squamous cell carcinoma originating from the gallbladder. Patient remains disease free 10 years after the operation.
Conclusion: Surgery remains as the only potentially curative therapy for locally advanced squamous cell carcinoma.

Keywords: Gallbladder carcinoma, Intra-abdominal mass, Radical cholecystectomy, Squamous cell carcinoma


Introduction

Gallbladder tumors are rare and squamous cell carcinomas account for a very small proportion of these tumors. In the Philippines, most of the reported cases of gallbladder malignancies are adenocarcinomas which are diagnosed after cholecystectomy for presumed benign disease. Among those diagnosed preoperatively, majority present in advanced stages and are invariably fatal.

A case of a patient with locally advanced gallbladder squamous cell carcinoma who remains disease free 10 years after radical resection is being presented.


Case Report

A 65-year-old mother of 11 children admitted to the UP-PGH Medical Center on October 6, 2005 for abdominal pain. The patient since eight months prior to admission noted a gradually but progressively enlarging right upper quadrant abdominal mass. She started to feel pain at the right upper quadrant three months prior to admission, increasing in frequency and severity prompting consult. No history of jaundice, fever, nor any bowel movement abnormalities. She complained of nocturia and weight loss of 25% in six months.

Physical Examination done on the patient revealed a fairly developed fairly nourished normotensive patient, not in any distress, who had essentially normal head and neck, chest and lung findings. Abdominal examination revealed a palpable right upper quadrant mass, moveable, slightly tender on palpation. It measured approximately, 12x12 cm, extending from the right subcostal margin to just below the level of the umbilicus. It is grossly inseparable from the palpable liver edge.

Preoperative laboratories which included liver function tests, coagulation studies and blood chemistries were normal. Metastatic work-up was likewise negative. Diabetes mellitus was documented but was controlled by oral hypoglycemics.

Ultrasonography of the abdomen was requested which revealed enlarged septated gallbladder measuring 11.4 cm in length and 4.67 cm in diameter. An irregularly shaped hypoechoic structure is seen attached to the posterior wall extending into the lumen. A 2.35-cm highly intense echo with posterior acoustic shadowing was also noted. The liver, biliary tree, pancreas, kidneys, urinary bladder and adnexae were assessed to be normal. Impression then was a possible gallbladder tumor.

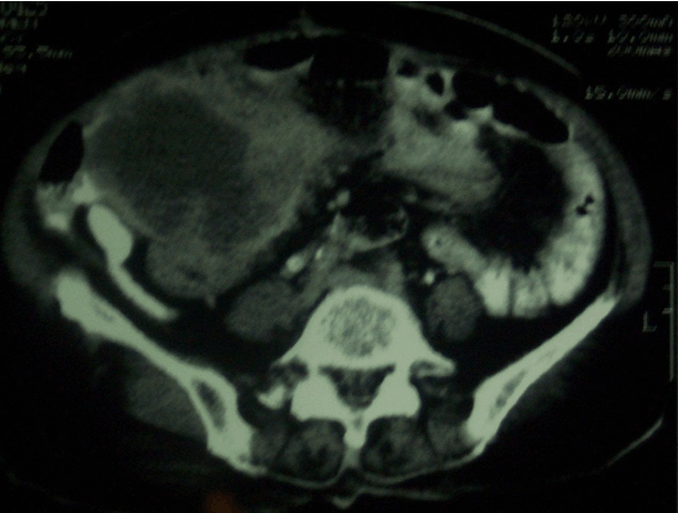
Computed tomography scan of the abdomen revealed (Figure 1) complex mass measuring 13x10x5 cm occupying the right upper quadrant which is inseparable from the gallbladder and the inferior liver margin. The transverse colon is displaced inferiorly. The rest of the organs appear to be normal. Impression is a gallbladder tumor possibly a sarcoma.

The patient was prepared for surgery, given prophylactic antibiotics and placed on bowel preparation.

The patient underwent surgery on the 5th hospital day. She underwent surgery under combined general inhalational anesthesia and epidural anesthesia. A right subcostal incision was done which revealed the following:

Body of the gallbladder was converted into a solid whitish mass which was adherent to the antrum, part of the transverse colon (Figure 2). The liver was grossly normal. The rest of the abdomen appeared grossly normal.

The incision was extended to the right subcostal margin. Complete resection of the tumor was performed with cholecystectomy and en bloc removal of the adjacent liver segment (Couinaud segment V), transverse colon and antrum. Lymphadenectomy was likewise performed at the hepatoduodenal ligament. The gastrointestinal tract was reconstructed by stapled gastrojejunostomy and stapled colocolostomy.

Postoperative course was uneventful, with feeding started on the 5th postoperative day. The patient was subsequently discharged one week after surgery and sent home with oral hypoglycemics.

Histopathologic examination showed the mass to be originating from the fundus of the gallbladder, invading the seromuscular layers of the antrum and the transverse colon. There was also penetration into the adjacent liver segment, with all nodes negative for tumor.

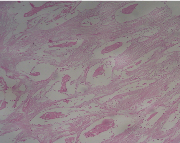
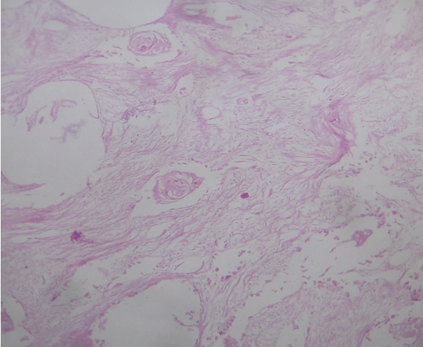
Microscopic examination revealed sheets of malignant keratinized squamous cells separated by fibrous stroma (Figure 3). Extensive keratinization and cancer pearl formation was noted (Figure 4). All lines of resection were negative for tumor.


Cursor on image to zoom/Click text to open image
Figure 1: Preoperative computed tomography scan. Complex mass measuring 13x10x5 cm occupying the right upper quadrant which is inseparable from the gallbladder and the inferior liver margin.



Cursor on image to zoom/Click text to open image
Figure 2: Intraoperative findings converted into a solid whitish mass which was adherent to the antrum, part of the transverse colon.



Cursor on image to zoom/Click text to open image
Figure 3: Sheets of malignant keratinized squamous cells.



Cursor on image to zoom/Click text to open image
Figure 4: Slide showing cancer pearls and extensive keratinization.



Discussion

This case is being presented as the first reported case of a locally advanced pure squamous cell carcinoma of the gallbladder in our institution and the first reported in Philippine literature. Moreover, it is being reported due to the long disease free interval achieved after surgical management. It is being presented not only for its rarity but also for the complicated surgical management it required. Gallbladder tumors are rare, and squamous cell carcinomas of the gallbladder comprise only 0–12.7% of all gallbladder malignancies [1]. In the Surveillance, epidemiology and End Results Program of the National Cancer Institute, only 45 (1.7%) of 3038 patients with gallbladder cancer were recorded as squamous cell carcinoma [2]. Since squamous cell carcinoma of the gallbladder grows very rapidly, it is usually detected as a large carcinoma [1]. As in this case, our patient presented with a paucity of signs and symptoms, with the mechanical effects of the enlarging mass eventually prompting consult. Although advanced gallbladder carcinoma is regarded as a terminal illness, several institutions have reported long-term survival after radical surgery. Though reports of survival vary, most surgeons agree that radical resection may be the only option for cure, with virtually no role for adjuvant radiotherapy or chemotherapy. For unresectable disease, pain management becomes the focal point of palliative care. Non-curative intervention is reserved to address complications of biliary or gastrointestinal obstruction [3] [4][5] [6][7][8] . Squamous cell carcinomas of the gallbladder are highly malignant and are characterized by early metastasis and a rapid clinical course. It thus implies poor prognosis and the only chance for cure depends on early detection and complete resection. Resectability for cure has been reported to be only 20–40%, and a 5-year survival rate range from 5–40%. As such, long-term survivors are usually those in whom they are found incidentally, with tumors confined to the mucosa or muscularis [9] [10][11]. The introduction of better imaging modalities has enabled surgeons to detect tumors at a relatively earlier stage. As a result, the prognosis for gallbladder carcinoma has begun to improve in recent years [12]. However, the extent of resection required remains controversial, especially in advanced stages of the disease. From the replies to a questionnaire sent to 76 prominent North American surgeons, Gagner et al. [13] concluded that surgeons advocated different procedures for each stage of the disease and that there was no consensus of opinion in this respect.

One of the reasons is that no uniform classification of staging system exists for gallbladder carcinoma, so that comparison of data is impossible. Furthermore, in some studies, the results of simple cholecystectomy and more extended resection were not compared according to tumor stage. This led some authors to reach the apparently paradoxical conclusion that survival did not improve after extended resection versus simple cholecystectomy, [14] [15][16] extended operations being reserved for the most advanced cases in the series concerned. Finally, in most of studies, the term "extended resections" included various surgical procedures ranging from limited hepatic resection to right lobectomy and common bile duct resection, thus making it difficult to assess the results.

Our surgical team proceeded with complete resection of this locally advanced tumor with the main objective of palliation and hopefully, prolonged survival. As of the writing of this article, the patient has been disease free for 120 months. She is being followed with regular physical examinations and annual CT scans.


Conclusion

This case underscores the importance of individualized treatment for patients with this rare disease entity. While some surgeons accept the dismal prognosis for this disease and avoid radical procedures with their attendant morbidity and mortality, this case highlights the role of judiciously applied surgical technique in treating locally advanced squamous cell carcinoma of the gallbladder.


References
  1. Karasawa T, Itoh K, Komukai M, Ozawa U, Sakurai I, Shikata T. Squamous cell carcinoma of gallbladder--report of two cases and review of literature. Acta Pathol Jpn 1981 Mar;31(2):299–308.   [Pubmed]    Back to citation no. 1
  2. Henson DE, Albores-Saavedra J, Corle D. Carcinoma of the gallbladder. Histologic types, stage of disease, grade, and survival rates. Cancer 1992 Sep 15;70(6):1493–7.   [CrossRef]   [Pubmed]    Back to citation no. 2
  3. Nakamura S, Nishiyama R, Yokoi Y, et al. Hepatopancreatoduodenectomy for advanced gallbladder carcinoma. Arch Surg 1994 Jun;129(6):625–9.   [CrossRef]   [Pubmed]    Back to citation no. 3
  4. Miyazaki M, Itoh H, Ambiru S, et al. Radical surgery for advanced gallbladder carcinoma. Br J Surg 1996 Apr;83(4):478–81.   [CrossRef]   [Pubmed]    Back to citation no. 4
  5. Tsukada K, Hatakeyama K, Kurosaki I, et al. Outcome of radical surgery for carcinoma of the gallbladder according to the TNM stage. Surgery 1996 Nov;120(5):816–21.   [CrossRef]   [Pubmed]    Back to citation no. 5
  6. Nimura Y, Hayakawa N, Kamiya J, et al. Hepatopancreatoduodenectomy for advanced carcinoma of the biliary tract. Hepatogastroenterology 1991 Apr;38(2):170–5.   [Pubmed]    Back to citation no. 6
  7. Nimura Y, Hayakawa N, Kamiya J, et al. Combined portal vein and liver resection for carcinoma of the biliary tract. Br J Surg 1991 Jun;78(6):727–31.   [CrossRef]   [Pubmed]    Back to citation no. 7
  8. Kondo S, Nimura Y, Hayakawa N, Kamiya J, Nagino M, Uesaka K. Regional and para-aortic lymphadenectomy in radical surgery for advanced gallbladder carcinoma. Br J Surg 2000 Apr;87(4):418–22.   [CrossRef]   [Pubmed]    Back to citation no. 8
  9. Piehler JM, Crichlow RW. Primary carcinoma of the gallbladder. Surg Gynecol Obstet 1978 Dec;147(6):929–42.   [CrossRef]   [Pubmed]    Back to citation no. 9
  10. Ogura Y, Mizumoto R, Isaji S, Kusuda T, Matsuda S, Tabata M. Radical operations for carcinoma of the gallbladder: present status in Japan. World J Surg 1991 May-Jun;15(3):337–43.   [CrossRef]   [Pubmed]    Back to citation no. 10
  11. Ouchi K, Owada Y, Matsuno S, Sato T. Prognostic factors in the surgical treatment of gallbladder carcinoma. Surgery 1987 Jun;101(6):731–7.   [Pubmed]    Back to citation no. 11
  12. Chijiiwa K, Sumiyoshi K, Nakayama F. Impact of recent advances in hepatobiliary imaging techniques on the preoperative diagnosis of carcinoma of the gallbladder. World J Surg 1991 May-Jun;15(3):322–7.   [CrossRef]   [Pubmed]    Back to citation no. 12
  13. Gagner M, Rossi RL. Radical operations for carcinoma of the gallbladder: present status in North America. World J Surg 1991 May-Jun;15(3):344–7.   [CrossRef]   [Pubmed]    Back to citation no. 13
  14. Wanebo HJ, Castle WN, Fechner RE. Is carcinoma of the gallbladder a curable lesion? Ann Surg 1982 May;195(5):624–31.   [CrossRef]   [Pubmed]    Back to citation no. 14
  15. Klamer TW, Max MH. Carcinoma of the gallbladder. Surg Gynecol Obstet 1983 May;156(5):641–5.   [Pubmed]    Back to citation no. 15
  16. Nakamura S, Sakaguchi S, Suzuki S, Muro H. Aggressive surgery for carcinoma of the gallbladder. Surgery 1989 Sep;106(3):467–73.   [Pubmed]    Back to citation no. 16

[HTML Abstract]   [PDF Full Text]

Author Contributions
Anthony Relucio Perez – Substantial contributions to conception and design, Acquisition of data, Analysis and interpretation of data, Drafting the article, Revising it critically for important intellectual content, Final approval of the version to be published
Mary Ellen Chiong Perez – Analysis and interpretation of data, Revising it critically for important intellectual content, Final approval of the version to be published
Guarantor of submission
The corresponding author is the guarantor of submission.
Source of support
None
Conflict of interest
Authors declare no conflict of interest.
Copyright
© 2016 Anthony Relucio Perez et al. This article is distributed under the terms of Creative Commons Attribution License which permits unrestricted use, distribution and reproduction in any medium provided the original author(s) and original publisher are properly credited. Please see the copyright policy on the journal website for more information.