Table of Contents    
Case Report
 
A mass in the porta hepatis: A rare presentation of ectopic thyroid
Hoylan T. Fernandez1, Peter T. W. Kim1, Michael Cimo2, Robert M. Goldstein1
1MD, Annette C. and Harold C. Simmons Transplant Institute, Baylor University Medical Center, Dallas, Texas.
2MD, Baylor All Saints Medical Center, Fort Worth, Texas.

Article ID: 100048IJHPDHF2016
doi:10.5348/ijhpd-2016-48-CR-4

Address correspondence to:
Hoylan T. Fernandez
MD, Annette C. and Harold C. Simmons Transplant Institute
Baylor University Medical Center
3500 Gaston Avenue, Dallas
U S, TX 75246

Access full text article on other devices

  Access PDF of article on other devices

[HTML Abstract]   [PDF Full Text] [Print This Article]
[Similar article in Pumed] [Similar article in Google Scholar]

How to cite this article:
Fernandez HT, Kim PTW, Cimo M, Goldstein RM. A mass in the porta hepatis: A rare presentation of ectopic thyroid. Int J Hepatobiliary Pancreat Dis 2016;6:14–17.


Abstract
Introduction: The neck and chest are the most common sites of ectopic thyroid tissues. Ectopic thyroid tissue is infrequently encountered in the liver or gallbladder. This is a rare presentation of an incidental portal hepatis mass consistent with ectopic thyroid.
Case Report: A 69-year-old female with a medical history significant for hypothyroidism and multiple thyroid nodules, had undergone a total thyroidectomy. On subsequent ultrasound an incidental 3.6 cm porta hepatis mass was noted, with enlargement on Computed tomography (CT) scan and magnetic resonance imaging (MRI) scan to 4.6 cm. A complete resection of the porta hepatis mass was performed. Pathology of the porta hepatis mass was consistent with benign ectopic thyroid tissue with nodular hyperplasia.
Conclusion: This case describes the rare presentation of a porta hepatis mass consistent with an ectopic thyroid. The presence of ectopic thyroid in the porta hepatis is especially rare, and required surgical resection due to increasing size.

Keywords: Ectopic thyroid, Porta hepatis mass, Thyroid nodular hyperplasia


Introduction

The existence of ectopic thyroid tissue is rare, but if present, it is most commonly in the neck and thoracic region. However, in rare occasions it may be found in a distant site such as the gastrointestinal tract, pancreas, ovaries, fallopian tubes, vagina and adrenal gland. Its presence in the liver, hilar structures and gallbladder is exceptionally rare [1][2][3] [4][5][6]. The presence of thyroid tissue along the gastrointestinal tract, liver, pancreas has been explained from the common embryologic origin with the thyroid from foregut endoderm, with formation of ectopic thyroid as the thyroid assumes its final position in the pre-tracheal region [1]. The prevalence of ectopic thyroid is 1 per 100, 000–300, 000 persons [6]. They are largely asymptomatic, and associated hypothyroidism and malignancy are uncommon. This case reports the unique clinical presentation, diagnosis, surgical treatment, and pathology of an ectopic thyroid encountered in the porta hepatis.


Case Report

A 69-year-old woman with a history of hypothyroidism underwent a total thyroidectomy for a symptomatic multinodular goiter. Three years later, she was found to have an incidental 3.6 cm hepatic mass on routine ultrasound, and a percutaneous biopsy demonstrated benign appearing thyroid tissue. An I123-scintigraphy demonstrated active thyroid tissue in the liver hilum, with no other active sites. Computed tomography (CT) scan and magnetic resonance imaging (MRI) scan showed a 4.6 cm heterogeneously enhancing hepatic mass, localized to the anterior aspect of the hilum (Figure 1). Due to the increasing size of the mass and concerns for malignancy, the patient underwent resection.

The patient underwent an exploratory laparotomy, with no evidence of gross metastatic disease in the peritoneum. A 5.5-cm mass was present in the porta hepatis with no gross vascular, biliary or hepatic involvement (Figure 2A). Many small arterial branches from the proper and right hepatic artery supplied the mass. These small vessels were systematically ligated in order to mobilize the mass, and the vasculature was grossly free from involvement (Figure 2B-C). Once the mass was removed, a cholecystectomy was performed. Upon completion no residual disease was present, and the vasculature and bile ducts were noticeably uninvolved (Figure 2D). A porta hepatis lymph node appeared enlarged and hardened, and was removed.

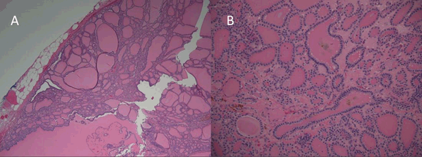
Pathology was consistent with 5.5 cm benign ectopic thyroid tissue with nodular hyperplasia, composed of small to large size follicles (Figure 3A-B). The porta hepatis lymph node was notable for fatty metamorphosis, but had no evidence of malignancy.


Cursor on image to zoom/Click text to open image
Figure 1: (A) Axial, and (B) Coronal computed tomography scan of hilar mass (arrow) anterior to the hepatic artery.



Cursor on image to zoom/Click text to open image
Figure 2: (A) Porta hepatis mass (arrow), with no hepatic involvement, (B) Ligation of small arterial collateral blood supply and mobilization of the mass (arrow) from the biliary and arterial systems, (C) Porta hepatis mass without gross vascular or biliary invasion, and (D) Completion of resection.



Cursor on image to zoom/Click text to open image
Figure 3: (A) Low power view of ectopic thyroid with nodular hyperplasia (H&E stain, x100), and (B) Variably sized follicles, focally with hemosiderin-laden macrophages (H&E stain, x100).



Discussion

Ectopic thyroid tissue may be found anywhere along the thyroglossal duct, but in the majority of patients it is localized to the lingula. In addition, ectopic thyroid may be identified in a variety of anatomic locations such as: gastrointestinal tract, mediastinum, pancreas, adrenal glands, ovaries, fallopian tubes, vagina, para-aortic, submandibular, liver, and gallbladder [1] [2] [3] [4][5][6]. Most cases of ectopic thyroid are discovered incidentally as patients are generally asymptomatic, and are more predominant among females. Thirty-three percent of patients with ectopic thyroids may experience hypothyroidism [6]. Asymptomatic patients may become symptomatic during puberty or pregnancy due to added hormone stimulation [7]. Less than 1% of ectopic thyroids are found to be malignant, but papillary carcinoma comprises 85% of those that have undergone malignant transformation.

Patients with incidental finding of ectopic thyroid have undergone an ultrasound, CT scan, or MRI scan on which the mass has been identified. A radionuclide scan with I123 is then essential for diagnosing the presence of thyroid tissue [6]. A biopsy may be performed to confirm the diagnosis, but in most cases these patients will undergo surgery for excision and pathologic diagnosis. In some cases, total thyroidectomy along with excision of ectopic thyroid may also be recommended.

The presentation of thyroid tissue in the porta hepatis mass is extremely rare. To our knowledge only two previous case reports have described the occurrence of a hilar ectopic thyroid [3] [4]. The first patient presented with abdominal pain, diarrhea, and weakness with a finding of mass spanning the porta hepatis to the duodenum. The pathology was consistent with thyroid follicles and colloid, with focal hyperplastic and nodular goiter changes [3]. The second asymptomatic patient was found to have a porta hepatis mass that was incidentally discovered on ultrasound, as well as, a lingua thyroid and ultimately underwent excision [4]. A small number of additional case reports have noted the presence of ectopic thyroid in liver parenchyma and in the gallbladder [1][2] [5]. One case reports the incidental finding of a 5cm hepatic mass during a transvaginal ultrasound performed for dysfunctional uterine bleeding, which resulted in a biopsy that revealed benign thyroid tissue and colloid [1]. An additional case describes an indistinct hepatic mass found near the porta requiring excision, with normal thyroid tissue found on pathology [2]. Most ectopic thyroids associated with the gallbladder are discovered on pathologic examination following cholecystectomy for acute of chronic cholecystitis, and rarely for an associated gallbladder mass [5].

In this case report, due to the enlarging size of the hilar mass on imaging and despite benign biopsy pathology, resection was felt to be the most appropriate therapy.


Conclusion

This case describes the rare presentation of a porta hepatis mass consistent with an ectopic thyroid. The presence of ectopic thyroid in the porta hepatis is especially rare, and requires complete work up with ultrasound, CT scan, MRI scan, I123 radionuclide scan, and ultimately biopsy to confirm diagnosis. A mass in the porta hepatis may be concerning for lymphoma, hemangioma, lymphangioma, fibroma, lipoma, dermoid cyst, squamous cell carcinoma, among a variety of other diagnoses. Excision of the mass should be recommended for definitive diagnosis, and due to their minor malignant potential.


References
  1. Salam M, Mohideen A, Stravitz RT. Ectopic thyroid presenting as a liver mass. Clin Gastroenterol Hepatol 2012 Jun;10(6):xxx.   [CrossRef]   [Pubmed]    Back to citation no. 1
  2. Strohschneider T, Timm D, Worbes C. Ectopic thyroid gland tissue in the liver. [Article in German]. Chirurg 1993 Sep;64(9):751–3.   [Pubmed]    Back to citation no. 2
  3. Jamshidi M, Kasirye O, Smith DJ. Ectopic thyroid nodular goiter presenting as a porta hepatis mass. Am Surg 1998 Apr;64(4):305–6.   [Pubmed]    Back to citation no. 3
  4. Ghanem N, Bley T, Altehoefer C, Högerle S, Langer M. Ectopic thyroid gland in the porta hepatis and lingua. Thyroid 2003 May;13(5):503–7.   [CrossRef]   [Pubmed]    Back to citation no. 4
  5. Liang K, Liu JF, Wang YH, Tang GC, Teng LH, Li F. Ectopic thyroid presenting as a gallbladder mass. Ann R Coll Surg Engl 2010 May;92(4):W4–6.   [CrossRef]   [Pubmed]    Back to citation no. 5
  6. Santangelo G, Pellino G, De Falco N, et al. Prevalence, diagnosis and management of ectopic thyroid glands. Int J Surg 2015 Dec 18. pii: S1743-9191(15)01428–4.   [CrossRef]   [Pubmed]    Back to citation no. 6
  7. Çeliker M, Beyazal Çeliker F, Turan A, Beyazal M, Beyazal Polat H. Submandibular Lateral Ectopic Thyroid Tissue: Ultrasonography, Computed Tomography, and Scintigraphic Findings. Case Rep Otolaryngol 2015;2015:769604.   [CrossRef]   [Pubmed]    Back to citation no. 7

[HTML Abstract]   [PDF Full Text]

Author Contributions
Hoylan T. Fernandez – Substantial contributions to conception and design, Acquisition of data, Analysis and interpretation of data, Drafting the article, Revising it critically for important intellectual content, Final approval of the version to be published
Peter T. W. Kim – Analysis and interpretation of data, Revising it critically for important intellectual content, Final approval of the version to be published
Michael Cimo – Analysis and interpretation of data, Revising it critically for important intellectual content, Final approval of the version to be published
Robert M. Goldstein – Analysis and interpretation of data, Revising it critically for important intellectual content, Final approval of the version to be published
Guarantor of submission
The corresponding author is the guarantor of submission.
Source of support
None
Conflict of interest
Authors declare no conflict of interest.
Copyright
© 2016 Hoylan T. Fernandez et al. This article is distributed under the terms of Creative Commons Attribution License which permits unrestricted use, distribution and reproduction in any medium provided the original author(s) and original publisher are properly credited. Please see the copyright policy on the journal website for more information.