Table of Contents    
Case Report
 
Liver pathology findings in infant with Caroli's syndrome
Blagica Dukova1, Boro Ilievski2, Snezana Duganovska3, Vladimir Chadikovski4 Aco Kostovski5
1Junior assistant, Pathologist, Institute of pathology, Medical faculty, Skopje, Republic of Macedonia.
2Pathologist, Institute of pathology, Medical faculty, Skopje, Republic of Macedonia.
3Professor, Pathologist, Institute of pathology, Medical faculty, Skopje, Republic of Macedonia.
4Pediatric surgeon, University clinic of pediatric surgery, Skopje, Republic of Macedonia.
5Professor, Pediatrician, Medical Director of University Children's Hospital, Chief of Department of Pediatric Gastroenterology, University Children's Hospital, Skopje, Republic of Macedonia.

Article ID: 100004IJHPDBD2012
doi:10.5348/ijhpd-2011-4-CR-2

Address correspondence to:
Blagica Dukova
Shumadinska 5/18
1000 Skopje
Republic of Macedonia
Europe
Phone: +38970678209
Fax: + 389 2 3226 948
Email: blagicadr@yahoo.com

[HTML Abstract]   [PDF Full Text]

How to cite this article:
Dukova B, Ilievski B, Duganovska S, Chadikovski V, Kostovski A. Liver pathology findings in infant with caroli's syndrome. International Journal of Hepatobiliary and Pancreatic Diseases 2012;2:4-8.


Abstract
Introduction: Caroli's syndrome (CS) is a rare congenital disorder characterized by intrahepatic bile duct dilatation and congenital hepatic fibrosis. The clinical features of this condition include signs of portal hypertension, cholangitis and lithiasis. Liver transplantation is the ultimate treatment in most patients with liver failure.
Case Report: A three month old infant treated with the diagnosis of biliary atresia, after two liver biopsies presented with distended abdomen, hepatosplenomegaly and signs of portal hypertension. Liver transplantation was preformed after four months. We found ectatic hilar bile ducts and intrahepatic bile duct dilatation. The pathologic finding of congenital hepatic fibrosis and proliferated dilated bile ducts suggested the diagnosis of Caroli's syndrome.
Conclusion: Caroli's disease and Caroli's syndrome may represent single disorder distinguished by congenital hepatic fibrosis. Fibrosis itself leads to portal hypertension appearing late in patients with Caroli's disease while it's dynamic and progressive in CS. Elevated white blood cell count is due to recurrent cholangitis, cholestasis and hepatolithiasis. Caroli's disease can be associated with extrahepatic bile duct dilatation, but the exact incidence is not known. CS often is associated with kidney lesions and cardiac disease. Liver transplantation should be preformed early. Symptoms are presented early in life due to congenital and progressive hepatic fibrosis. Caroli's syndrome must be considered in differential diagnosis in neonates with jaundice, ascites and hepatosplenomegaly. The first child with liver transplantation in Republic of Macedonia was diagnosed as Caroli's syndrome.

Key Words: Caroli's syndrome, Caroli's disease, Congenital hepatic fibrosis, Intrahepatic bile duct dilatation


Introduction

Choledochal malformations (CM) are classified into five types according to Todani classification. The fifth type includes Caroli's disease, first described in 1958 by Jacques Caroli as congenital segmental saccular dilatation of the intrahepatic bile ducts. There is a clear relationship of this rare condition with renal anomalies (autosomal recessive polycystic kidney disease and medullary sponge kidney) and intrahepatic fibrosis (combination known as Caroli's syndrome). Recurrent cholangitis due to biliary stasis, jaundice and signs of portal hypertension (e.g. splenomegaly, variceal bleeding, etc) may be found in both Caroli's disease and syndrome. The diagnosis depends on both pathohistology and imaging methods which can show the communication between the sacculi and the bile ducts. This process can be diffuse or limited to one lobe of the liver, more commonly the left lobe. The management varies from symptomatic treatment with antibiotics, surgical drainage procedures to liver transplantation in end stage. We present a case of a three month old boy, who after two liver biopsies underwent liver transplantation and was diagnosed with Caroli's syndrome (CS).


Case Report

A three month old boy was admitted at Gastrenterohepatology Department of University Children's Hospital because of cholestatic jaundice. He was born at 41 weeks of gestation from controlled pregnancy with a birth weight of 3380 gm and jaundice.

Laboratory results showed elevated conjugated bilirubin - 139 µmol/l, total bilirubin - 168 µmol/l, elevated serum AST (range from 192 - 278 U/l), ALT (range from to 116 - 122 U/l), elevated ?GT level (range from 457 - 584 U/l), proteins - 48 gm/l, albumin - 22 gm/l, normal a1-antytripsine - 1.49 g/l, normal serum iron - 20 µmol/l, a fetoprotein - 6567 IU/ml. All serological markers for viral hepatitis and antibodies for TORCH infections were negative.

Metabolic screening tests for inborn errors of metabolism (aminoacidemia and organic aciduria) were normal.

Tc - 99m iminodiacetic acid scan (HIDA) showed normal uptake by the hepatocytes, after two hours with no activity in the gut. Images taken after three hours and 24 hours showed radioisotope activity in the intestines, consistent with delayed and impaired bile excretion.

MRI cholangiopancreatography revealed hepatomegaly with presence of fibrosis around intrahepatic bile ducts in both liver lobes. Extrahepatic bile ducts were not visible except the upper part of common hepatic duct, finding consistent with biliary atresia.

Ultrasound examination of abdomen showed hapatomegaly and absent gallbladder. The ultrasound of urinary tract, heart and central nervous system excluded any congenital anomalies of these systems.

Liver biopsy showed hyperplastic bile ducts, periportal fibrosis and cholestasis leading to the diagnosis of biliary cirrhosis. After one month the child was admitted to the University Clinic of Pediatric surgery for operative treatment but only open liver biopsy was performed.

Microscopic examination of the liver tissue confirmed the findings from the first biopsy with additional features of necrosis and inflammation.

After one month, at the Emergency Department the child presented with ascites, hepatomegaly (+5 cm under costal margins), sepsis and pale stools.

For further examination and treatment the child was hospitalized again at University Clinic of Pediatric surgery where the living donor liver transplantation (LDLT) was made (first procedure for children in our country). The donor was the mother. During the donor operation left liver lobe (II and III segment) was dissected preserving the main vessels from the systemic and portal circulation and the main branches of the biliary tree. Than a hepatectomy was performed and the donor's liver segments were put in place anastomosing donor's hepatic veins with recipient's inferior vena cava. Portal vein was anastomosed termino-terminalis and hepatic artery to proper hepatic artery termino-terminalis. The donor's biliary duct was anastomosed to recipient's small intestine by Roux-en-Y loop.

The liver from the hepatectomy (patient) weighed 650 gm and had nodular, green surface. Hilar bile ducts and the gallbladder were ectatic, gallbladder measuring 11x8 cm. Dissected liver tissue showed diffuse multiple cystic intrahepatal bile ducts with lithiasis (figure 1 A, B).

Histopathologic analysis revealed intensive portal fibrosis, numerous ductal plate remnants, hyperplastic and dilated bile ducts with cholestasis and foci of microabscesses (figures 1-3).

The diagnosis of Caroli's syndrome was made.

Preoperative and postoperative laboratory results are shown in table 1.

The child had two attacks of acute rejection but resolved with immunosuppressants with Prograf (tacrolimus), Cellcept (mycophenolate), mofetil, Soludecortin, Simulect (rapamycine); treated at University Clinic of anesthesiology, reanimation and intensive care. At nine months of age the child died and postmortem examination revealed biliary complications, multiple hepatal graft necrotic areas and sepsis.


Click below to enlarge
Figure 1: A) Gross view of liver hilar side, B) ectatic gallbladder and hilar bile ducts, C) cystic intrahepatic bile ducts.



Click below to enlarge
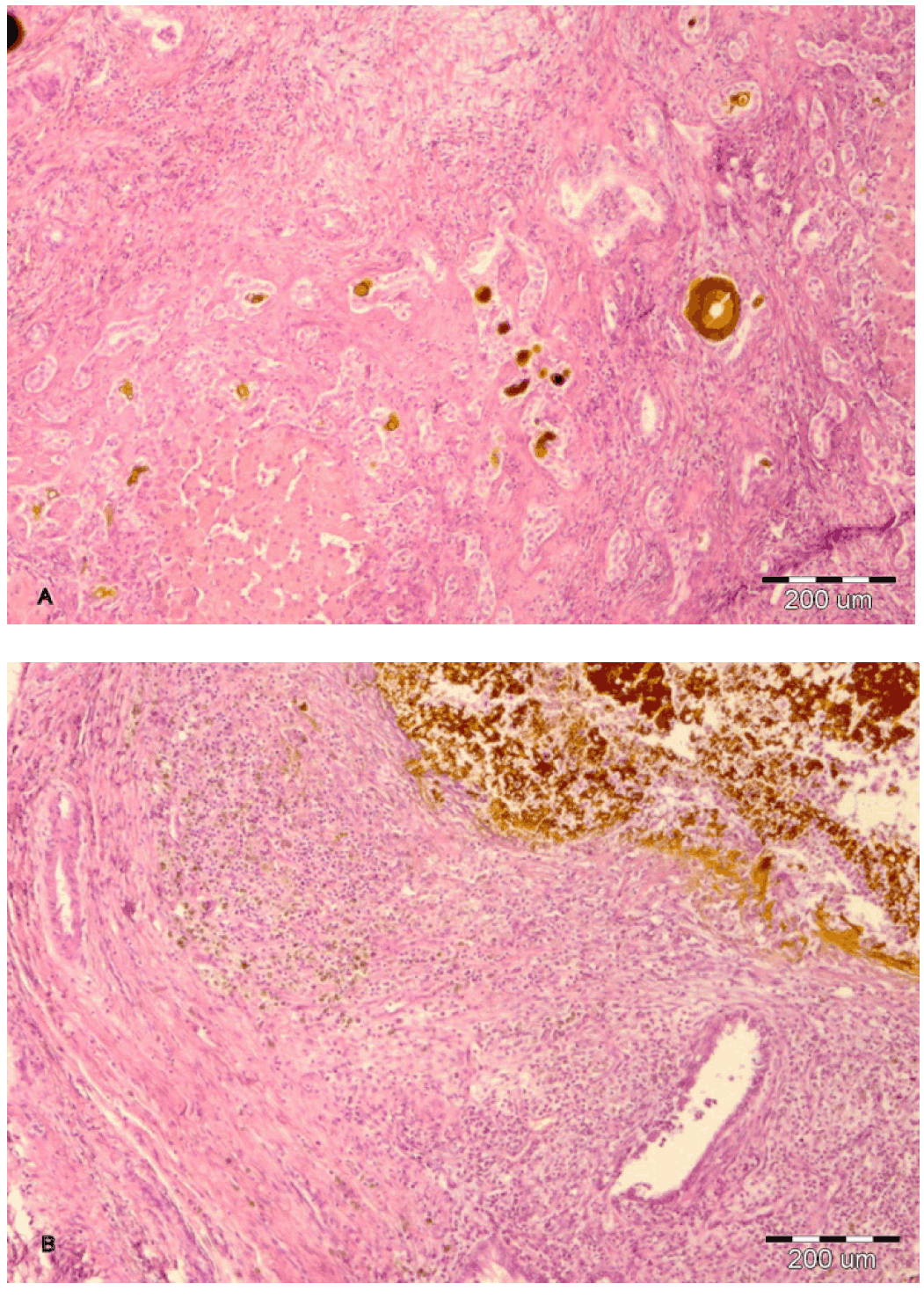
Figure 2: A) Portal fibrosis, dilated bile ducts with cholestasis (HE, x40), B) severe inflammatory response around cystic bile duct (HE, x40).



Click below to enlarge
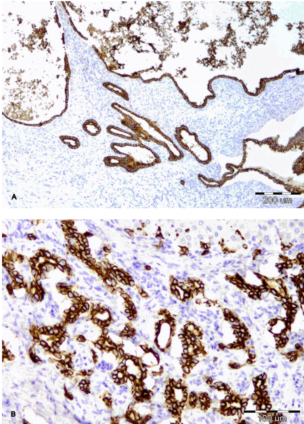
Figure 3: A) Cuboidal biliary epithelium lining ectatic ducts (CK19, x40), B) numerous ductal plate remnants (CK19, x100).




Click below to enlarge
Figure 4: Congenital hepatic fibrosis. (Massoris Trichrome, A - x40, B - x100).



Click below to enlarge
Table 4: Laboratory results (pre and postoperative).



Discussion

Caroli's disease is described in two forms; the so called "pure form" characterized by saccular, communicating intrahepatic bile duct dilatation and the second form which has intrahepatic bile duct ectasia and proliferation associated with hepatic fibrosis known as Caroli's syndrome. It is unclear whether these two types represent distinct entities or a single disorder distinguished by hepatic fibrosis. Many authors believe that the two conditions are different stages of the same disease. [1] [2] [3]. Clinical progression and presentation of CS is highly variable and symptoms may appear early or late during life. Congenital hepatic fibrosis leads to portal hypertension and development of esophageal varices, hematemesis or melena. In patients with Caroli's disease these symptoms appear late suggesting congenital hepatic fibrosis in Caroli's syndrome is dynamic and progressive. Recurrent cholangitis is explained by cholestasis and hepatolithiasis, resulting in elevated white blood cell count or erythrocyte sedimentation. [3]

Many theories are explaining the pathogenesis of CS, but the most acceptable for some is the one related to ductal plate malformation at different levels of the intrahepatic biliary tree. [3] Recent studies of Erika Makin et al. [4] showed relationship between histological appearance of biliary epithelium in excised choledochal malformation and increased choledochal pressure.

The differential diagnosis includes polycystic kidney disease, obstructive bile duct dilatation, primary sclerosing cholangitis, biliary papilomatosis and choledochal cyst. Pathohistologic findings of dilated and hyperplastic bile ducts accompanied with congenital hepatal fibrosis confirmed the diagnosis of Caroli's syndrome in our case.

Caroli's disease can be associated with extrahepatic bile duct dilatation, but the exact incidence is not known. Literature review of 37 cases found extrahepatic dilatation in 21% of patients. [5] Angela Levy et al [6] analyzed series of 17 patients (five with Caroli's syndrome) and found higher ratio of 53% patients with extrahepatic duct dilatation. Our patient also revealed extrahepatic and intrahepatic bile duct ectasia.

CS often is associated with autosomal recessive polycystic kidney disease, renal failure or cardiac disease. [7] [8] These features were not exhibited in the case.

Liver transplantation seems to be the ultimate curative treatment in these patients and should be preformed early. [9] [10] The child in this reported case was seven months old when liver transplantation was made. Precautions that should be taken in following these patients include adequate pre-transplant preparation and decreased risk of post-transplant infections.

Liver transplantation seems to be the ultimate curative treatment in these patients and should be preformed early. [9] [10] The child in this reported case was seven months old when liver transplantation was made. Precautions that should be taken in following these patients include adequate pretransplant preparation and decreased risk of posttransplant infections.


Conclusion

Our case discussed here is a boy with features of severe portal hypertension, cholestasis and cholangitis, who after liver transplantation and histopathological analysis was diagnosed with Caroli's syndrome. It is the first reported case of CS manifested in neonatal period in Republic of Macedonia. At the same time it was the first procedure for liver transplantation in a child made in our country. Although rare, CS should be considered in the differential diagnosis in neonates with jaundice, hepatosplenomegaly, intra- and extra-hepatic biliary dilatation and histologic findings of congenital hepatic fibrosis.


References
  1. Bavikar R, Kulkarni R. Caroli's syndrome:a case report. Curr Pediatr Res 2011;15(1):59-60.    Back to citation no. 1
  2. Rao YK, Midha T. Caroli's syndrome with ureterovesical calculi in a yang child. Indian J Pediatr 2010;77(6):701-2.   [CrossRef]   [Pubmed]    Back to citation no. 2
  3. Yonem O, Bayraktar Y. Clinical characteristics of Caroli's syndrome. World J Gastroenterol 2007;13(13):1934-7.   [Pubmed]    Back to citation no. 3
  4. Makin E, Davenport M . Understanding choledochal malformation. Arch Dis Child [doi:10.1136/adc.2010.195974] 2011. Available at http://adc.bmj.com/content/early/2011/03/27/adc.2010.195974.full.Accessed November 16, 2011.   [CrossRef]   [Pubmed]    Back to citation no. 4
  5. Todani T, Watanabe Y, Narusue M, Tabuchi K, Okajima K. Congenital bile duct cysts: classification, operative procedures, and review of thirty-seven cases including cancer arising from choledochal cyst. Am J Surg 1977;134:263-9.   [Pubmed]    Back to citation no. 5
  6. Levy AD, Rohrmann CA Jr, Murakata LA, Lonergan GJ. Caroli's disease: radiologic spectrum with pathologic correlation. AJR 2002;179:1053-7.   [Pubmed]    Back to citation no. 6
  7. Kim JT, Hur YJ, Park JM, Kim MJ, Park YN, Lee JS. Caroli's syndrome with autosomal recessive polycystic kidney disease in a two month old infant. Yonsei Med J 2006;47(1):131-4.   [CrossRef]   [Pubmed]    Back to citation no. 7
  8. Keane F, Hdzic N, Wilkinson ML, et al. Neonatal presentation of Caroli's disease. Arch Dis Child Fetal Neonatal ed 1997;77:F145-6.   [CrossRef]   [Pubmed]    Back to citation no. 8
  9. Wang ZX, Yan LN, Li B, Zeng Y, Wen TF, Wang WT. Orthotopic liver transplantation for patients with Caroli's disease. Hepatobiliary Pancreat Dis Int 2008;7:97-100.   [Pubmed]    Back to citation no. 9
  10. Dong Q, Jiang BX, Jiang Z, et al. Management of congenital choledochal cyst complicated by biliary anomalies and aberrant bile duct. World J Pediatr 2006;2:133-8.   [CrossRef]   [Pubmed]    Back to citation no. 10
[HTML Abstract]   [PDF Full Text]

Author Contributions:
Blagica Dukova - Conception and design, Acquisition of data, Analysis and interpretation of data, Drafting the article, Final approval of the version to be published
Boro Ilievski - Acquisition of data, Critical revision of the article, Final approval of the version to be published
Snezana Duganovska - Acquisition of data, Critical revision of the article, Final approval of the version to be published
Vladimir Chadikovski - Acquisition of data, Analysis and interpretation of data, Critical revision of the article, Final approval of the version to be published
Aco Kostovski - Acquisition of data, Analysis and interpretation of data, Critical revision of the article, Final approval of the version to be published
Guarantor of submission:
The corresponding author is the guarantor of Submission.
Source of support:
None
Conflict of interest:
The authors declare no conflict of interest.
Copyright:
© Blagica Dukova et al. 2012; This article is distributed under the terms of Creative Commons Attribution License which permits unrestricted use, distribution and reproduction in any means provided the original authors and original publisher are properly credited. (Please see Copyright Policy for more information.)